提醒成功

搜索
Rabbit Polyclonal Antibody to Phospho-GSK3 (Tyr279/Tyr216)
-
货号:
P20345 -
别名:
Serine/threonine-protein kinase GSK3A -
应用:
WB,IHC,IF -
反应种属:
Human,Mouse,Rat -
抗体类型:
Primary antibody -
Swissprot:
P49840 -
规格:
-
数量:
-+ -
说明书:
目录价¥1980

Rabbit Polyclonal Antibody to Phospho-GSK3 (Tyr279/Tyr216)
Description |
---|
GSK3A a proline-directed protein kinase of the GSK family. Implicated in the control of several regulatory proteins including glycogen synthase, Myb, and c-Jun. GSK3 and GSK3 have similar functions. GSK3 phophorylates tau, the principal component of neurofibrillary tangles in Alzheimer disease and is required for maximal production of amyloid plaque peptides by secretase. |
Specification |
|
---|---|
Aliases | Serine/threonine-protein kinase GSK3A |
Entrez GeneID | 2931 |
Swissprot | P49840 |
WB Predicted band size | Calculated MW: 51 kDa; Observed MW: 46,51 kDa |
Host/Isotype | Rabbit IgG |
Antibody Type | Primary antibody |
Storage | Store at 4°C short term. Aliquot and store at -20°C long term. Avoid freeze/thaw cycles. |
Species Reactivity | Human,Mouse,Rat |
Immunogen | Synthetic peptide of human GSK3A |
Formulation | Purified antibody in PBS with 0.05% sodium azide,0.5%BSA and 50% glycerol. |
Application |
|
---|---|
WB | 1/500-1/1000 |
IHC | 1/50-1/100 |
IF/ICC | 1/100-1/200 |
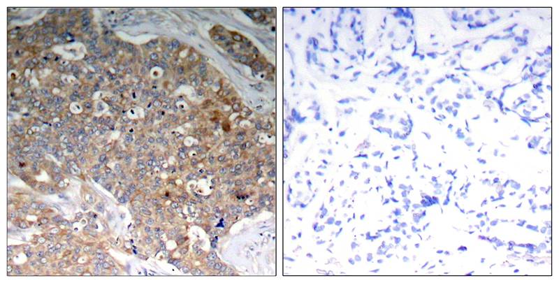
Product Image
- Western blot analysis of Phospho-GSK3 (Tyr279/Tyr216) in 293 lysates using Phospho-GSK3 alpha/beta (Tyr279/Tyr216) antibody.
- Immunofluorescence analysis of Phospho-GSK3 (Tyr279/Tyr216) in Hela cells using GSK3a/b(Phospho-Tyr279/216) antibody(red).
- Immunohistochemistry analysis of paraffin-embedded Human breast carcinoma tissue using Phospho-GSK3 (Tyr279/Tyr216) antibody.High-pressure and temperature Sodium Citrate pH 6.0 was used for antigen retrieval. Sample with blocking peptide on the right.
For Reseach Only
Application Key:WB - Western Blot | IHC - Immunohistochemistry | ICC - Immunocytochemistry | FCM - Flow Cytometry | ELISA - Enzyme-linked Immunosorbent Assay | IP - Immunoprecipitation
#P20345

相关产品


