提醒成功
搜索
Rabbit Polyclonal Antibody to Phospho-PYK2 (Tyr402)
-
货号:
P20344 -
别名:
PTK2B; FAK2; PYK2; RAFTK; Protein-tyrosine kinase 2-beta; Calcium-dependent tyrosine kinase; CADTK; Calcium-regulated non-receptor proline-rich tyrosine kinase; Cell adhesion kinase beta; CAK-beta; CAKB; Focal adhesion kinase 2; FADK 2; Pro -
应用:
WB,IHC,IF -
反应种属:
Human,Mouse,Rat -
抗体类型:
Primary antibody -
Swissprot:
Q14289 -
规格:
-
数量:
-+ -
说明书:
目录价¥1980
Rabbit Polyclonal Antibody to Phospho-PYK2 (Tyr402)
Description |
|---|
PYK2 a nonreceptor tyrosine kinase of the Fak family. Predominantly expressed in the cells derived from hematopoietic lineages and in the central nervous system. PYK2 is one of the signaling mediators for G-protein-coupled receptors. Involved in calcium induced regulation of ion channel and activation of the map kinase signaling pathway. Interacts with the SH2 domain of Grb2. |
Specification |
|
|---|---|
| Aliases | PTK2B; FAK2; PYK2; RAFTK; Protein-tyrosine kinase 2-beta; Calcium-dependent tyrosine kinase; CADTK; Calcium-regulated non-receptor proline-rich tyrosine kinase; Cell adhesion kinase beta; CAK-beta; CAKB; Focal adhesion kinase 2; FADK 2; Pro |
| Entrez GeneID | 2185 |
| Swissprot | Q14289 |
| WB Predicted band size | Calculated MW: 116 kDa; Observed MW: 116 kDa |
| Host/Isotype | Rabbit IgG |
| Antibody Type | Primary antibody |
| Storage | Store at 4°C short term. Aliquot and store at -20°C long term. Avoid freeze/thaw cycles. |
| Species Reactivity | Human,Mouse,Rat |
| Immunogen | Synthetic peptide of human PTK2B |
| Formulation | Purified antibody in PBS with 0.05% sodium azide,0.5%BSA and 50% glycerol. |
Application |
|
|---|---|
| WB | 1/500-1/1000 |
| IHC | 1/50-1/100 |
| IF/ICC | 1/100-1/200 |
Product Image
- Western blot analysis of Phospho-PYK2 (Tyr402) in 293 lysates using Phospho-PYK2 (Tyr402) antibody.
- Immunofluorescence analysis of Phospho-PYK2 (Tyr402) in Hela cells using Pyk2(Phospho-Tyr402) antibody(red).
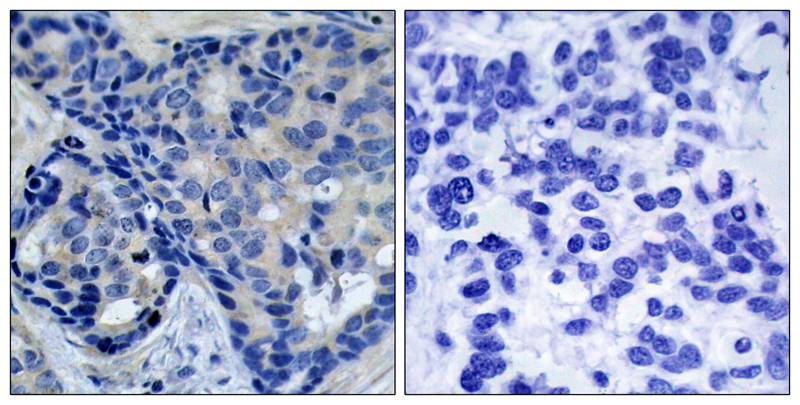
- Immunohistochemistry analysis of paraffin-embedded Human breast carcinoma tissue using Pyk2(Phospho-Tyr402) antibody.High-pressure and temperature Sodium Citrate pH 6.0 was used for antigen retrieval. Sample with blocking peptide on the right.
For Reseach Only
Application Key:WB - Western Blot | IHC - Immunohistochemistry | ICC - Immunocytochemistry | FCM - Flow Cytometry | ELISA - Enzyme-linked Immunosorbent Assay | IP - Immunoprecipitation
#P20344
相关产品

微信/QQ登录


首页
