提醒成功
搜索
Rabbit Polyclonal Antibody to Phospho-LIM Kinase 1 (Thr508)
-
货号:
P20343 -
别名:
LIMK1; LIMK; LIM domain kinase 1; LIMK-1 -
应用:
WB,IHC,IF -
反应种属:
Human,Mouse,Rat -
抗体类型:
Primary antibody -
Swissprot:
P53667 -
规格:
-
数量:
-+ -
说明书:
目录价¥1980
Rabbit Polyclonal Antibody to Phospho-LIM Kinase 1 (Thr508)
Description |
|---|
Protein kinase which regulates actin filament dynamics. Phosphorylates and inactivates the actin binding/depolymerizing factor cofilin, thereby stabilizing the actin cytoskeleton. Stimulates axonal outgrowth and may be involved in brain development. Isoform 3 has a dominant negative effect on actin cytoskeletal changes. |
Specification |
|
|---|---|
| Aliases | LIMK1; LIMK; LIM domain kinase 1; LIMK-1 |
| Entrez GeneID | 3984 |
| Swissprot | P53667 |
| WB Predicted band size | Calculated MW: 73 kDa; Observed MW: 73 kDa |
| Host/Isotype | Rabbit IgG |
| Antibody Type | Primary antibody |
| Storage | Store at 4°C short term. Aliquot and store at -20°C long term. Avoid freeze/thaw cycles. |
| Species Reactivity | Human,Mouse,Rat |
| Immunogen | Synthetic peptide of human LIMK1 |
| Formulation | Purified antibody in PBS with 0.05% sodium azide,0.5%BSA and 50% glycerol. |
Application |
|
|---|---|
| WB | 1/500-1/1000 |
| IHC | 1/50-1/100 |
| IF/ICC | 1/100-1/200 |
Product Image
- Western blot analysis of Phospho-LIM Kinase 1 (Thr508) in C2C12, Hela, 293 lysates using Phospho-LIM Kinase 1 (Thr508) antibody.
- Immunofluorescence analysis of Phospho-LIM Kinase 1 (Thr508) in Hela cells using LIMK1(Phospho-Thr508) antibody(red).
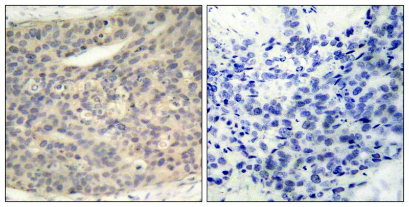
- Immunohistochemistry analysis of paraffin-embedded Human breast carcinoma tissue using LIMK1(Phospho-Thr508) antibody.High-pressure and temperature Sodium Citrate pH 6.0 was used for antigen retrieval. Sample with blocking peptide on the right.
For Reseach Only
Application Key:WB - Western Blot | IHC - Immunohistochemistry | ICC - Immunocytochemistry | FCM - Flow Cytometry | ELISA - Enzyme-linked Immunosorbent Assay | IP - Immunoprecipitation
#P20343
相关产品

微信/QQ登录


首页
