提醒成功
搜索
产品中心
Product Center条件筛选
全部清除
-
Category
-
Host
-
Antibody Type
-
Application
-
Conjugation
-
Research Field
-
Modified
-
Targets
-
Antibody Pair
-
Host/Isotype
-
Species Reactivity
-
加入对比加入购物车
-
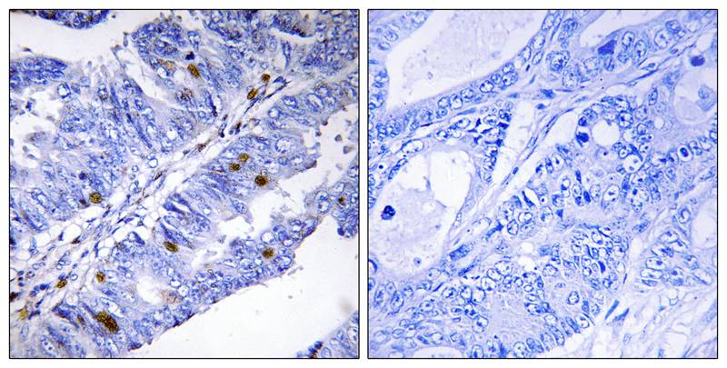
货号:P40399CSFR (Phospho-Tyr561)
应用:WB,IHC 别名:CD115; CSF-1-R; CSFMR; FMS; M-CSFR 反应种属:Human目录价 ¥2180
加入对比加入购物车 -
加入对比加入购物车
-
加入对比加入购物车
-
加入对比加入购物车
-
加入对比加入购物车
-
加入对比加入购物车
-
加入对比加入购物车
-
加入对比加入购物车
-
加入对比加入购物车
-
加入对比加入购物车
-
加入对比加入购物车

微信/QQ登录


首页


