提醒成功

搜索
Mouse Monoclonal Antibody to BMPR1A
-
货号:
30446P -
别名:
ALK3; SKR5; CD292; ACVRLK3; 10q23del -
应用:
IHC,FCM -
反应种属:
Human -
抗体类型:
Primary antibody -
Swissprot:
P36894 -
规格:
-
数量:
-+ -
说明书:
目录价¥2180

Mouse Monoclonal Antibody to BMPR1A
Description |
---|
The bone morphogenetic protein (BMP) receptors are a family of transmembrane serine/threonine kinases that include the type I receptors BMPR1A and BMPR1B and the type II receptor BMPR2. These receptors are also closely related to the activin receptors, ACVR1 and ACVR2. The ligands of these receptors are members of the TGF-beta superfamily. TGF-betas and activins transduce their signals through the formation of heteromeric complexes with 2 different types of serine (threonine) kinase receptors: type I receptors of about 50-55 kD and type II receptors of about 70-80 kD. Type II receptors bind ligands in the absence of type I receptors, but they require their respective type I receptors for signaling, whereas type I receptors require their respective type II receptors for ligand binding. |
References |
---|
1.Acta Crystallogr Sect F Struct Biol Cryst Commun. 2011 May 1;67(Pt 5):551-5. 2.Gastroenterology. 2011 Jul;141(1):e23-6. |
Specification |
|
---|---|
Aliases | ALK3; SKR5; CD292; ACVRLK3; 10q23del |
Entrez GeneID | 657 |
Swissprot | P36894 |
clone | 4B7B2 |
WB Predicted band size | 60kDa |
Host/Isotype | Mouse IgG1 |
Antibody Type | Primary antibody |
Storage | Store at 4°C short term. Aliquot and store at -20°C long term. Avoid freeze/thaw cycles. |
Species Reactivity | Human |
Immunogen | Purified recombinant fragment of human BMPR1A (AA: 179-378 ) expressed in E. Coli. |
Formulation | Purified antibody in PBS with 0.05% sodium azide |
Application |
|
---|---|
IHC | 1/200 - 1/1000 |
FCM | 1/200 - 1/400 |
ELISA | 1/10000 |
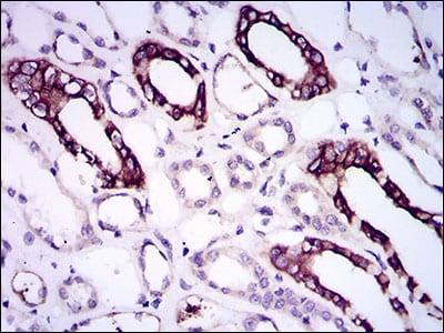
Product Image
- Black line: Control Antigen (100 ng); Purple line: Antigen(10ng); Blue line: Antigen (50 ng); Red line: Antigen (100 ng);
- Flow cytometric analysis of Jurkat cells using BMPR1A mouse mAb (green) and negative control (purple).
- Immunohistochemical analysis of paraffin-embedded human colon cancer tissues using BMPR1A mouse mAb with DAB staining.
- Immunohistochemical analysis of paraffin-embedded human kidney tissues using BMPR1A mouse mAb with DAB staining.
For Reseach Only
Application Key:WB - Western Blot | IHC - Immunohistochemistry | ICC - Immunocytochemistry | FCM - Flow Cytometry | ELISA - Enzyme-linked Immunosorbent Assay | IP - Immunoprecipitation
#30446P

相关产品


