提醒成功

搜索
Mouse Monoclonal Antibody to SPP1
-
货号:
30443 -
别名:
OPN; BNSP; BSPI; ETA-1 -
应用:
IHC -
反应种属:
Human -
抗体类型:
Primary antibody -
Swissprot:
P10451 -
规格:
-
数量:
-+ -
说明书:
目录价¥2180

Mouse Monoclonal Antibody to SPP1
Description |
---|
The protein encoded by this gene is involved in the attachment of osteoclasts to the mineralized bone matrix. The encoded protein is secreted and binds hydroxyapatite with high affinity. The osteoclast vitronectin receptor is found in the cell membrane and may be involved in the binding to this protein. This protein is also a cytokine that upregulates expression of interferon-gamma and interleukin-12. Several transcript variants encoding different isoforms have been found for this gene. |
References |
---|
1.Blood. 2012 May 31;119(22):5215-20. 2.J Cancer Res Ther. 2011 Apr-Jun;7(2):138-42. |
Specification |
|
---|---|
Aliases | OPN; BNSP; BSPI; ETA-1 |
Entrez GeneID | 6696 |
Swissprot | P10451 |
clone | 7C5H12 |
WB Predicted band size | 35.4kDa |
Host/Isotype | Mouse IgG1 |
Antibody Type | Primary antibody |
Storage | Store at 4°C short term. Aliquot and store at -20°C long term. Avoid freeze/thaw cycles. |
Species Reactivity | Human |
Immunogen | Purified recombinant fragment of human SPP1 (AA: 167-314) expressed in E. Coli. |
Formulation | Purified antibody in PBS with 0.05% sodium azide |
Application |
|
---|---|
IHC | 1/200-1/400 |
ELISA | 1/10000 |
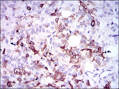
Product Image
- Black line: Control Antigen (100 ng); Purple line: Antigen(10ng); Blue line: Antigen (50 ng); Red line: Antigen (100 ng);
- Immunohistochemical analysis of paraffin-embedded human prostate cancer tissues using SPP1 mouse mAb with DAB staining.
- Immunohistochemical analysis of paraffin-embedded human endometrial cancer tissues using SPP1 mouse mAb with DAB staining.
For Reseach Only
Application Key:WB - Western Blot | IHC - Immunohistochemistry | ICC - Immunocytochemistry | FCM - Flow Cytometry | ELISA - Enzyme-linked Immunosorbent Assay | IP - Immunoprecipitation
#30443

相关产品


