提醒成功

搜索
Mouse Monoclonal Antibody to alpha Lactalbumin
-
货号:
P20429 -
别名:
Lactose synthase B protein; Alpha-lactalbumin; Lactalbumin alpha; MGC138521 -
应用:
WB,IHC,IF -
反应种属:
Human -
抗体类型:
Primary antibody -
Swissprot:
P00709 -
规格:
-
数量:
-+ -
说明书:
目录价¥2180

Mouse Monoclonal Antibody to alpha Lactalbumin
Description |
---|
Regulatory subunit of lactose synthase, changes the substrate specificity of galactosyltransferase in the mammary gland making glucose a good acceptor substrate for this enzyme. This enables LS to synthesize lactose, the major carbohydrate component of milk. In other tissues, galactosyltransferase transfers galactose onto the N-acetylglucosamine of the oligosaccharide chains in glycoproteins. |
Specification |
|
---|---|
Aliases | Lactose synthase B protein; Alpha-lactalbumin; Lactalbumin alpha; MGC138521 |
Entrez GeneID | 3906 |
Swissprot | P00709 |
clone | 5A3 |
WB Predicted band size | Calculated MW: 16 kDa; Observed MW: 16 kDa |
Host/Isotype | Mouse IgG1 |
Antibody Type | Primary antibody |
Storage | Store at 4°C short term. Aliquot and store at -20°C long term. Avoid freeze/thaw cycles. |
Species Reactivity | Human |
Immunogen | Synthetic Peptide of alpha Lactalbumin |
Formulation | Purified antibody in PBS with 0.05% sodium azide,0.5%BSA and 50% glycerol. |
Application |
|
---|---|
WB | 1/500-1/1000 |
IHC | 1/50-1/100 |
IF/ICC | 1/50-1/200 |
Product Image
- Western blot analysis of alpha Lactalbumin in Human Milk, Milk, lysates using alpha Lactalbumin antibody
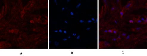
- Immunofluorescence analysis of alpha Lactalbumin in Human breast tissue using alpha Lactalbumin antibody(red),and DAPI (blue).
- Immunohistochemistry analysis of paraffin-embedded Human liver tissue using alpha Lactalbumin antibody.High-pressure and temperature Sodium Citrate pH 6.0 was used for antigen retrieval.Negative control was used by secondary antibody only.
For Reseach Only
Application Key:WB - Western Blot | IHC - Immunohistochemistry | ICC - Immunocytochemistry | FCM - Flow Cytometry | ELISA - Enzyme-linked Immunosorbent Assay | IP - Immunoprecipitation
#P20429

相关产品


