提醒成功

搜索
Mouse Monoclonal Antibody to FAK
-
货号:
20431z -
别名:
FAK; FADK; FAK1; FRNK; pp125FAK; PTK2 -
应用:
WB,IHC,IF -
反应种属:
Human,Mouse -
抗体类型:
Primary antibody -
Swissprot:
Q05397 -
规格:
-
数量:
-+ -
说明书:
目录价¥2180

Mouse Monoclonal Antibody to FAK
Description |
---|
This gene encodes a cytoplasmic protein tyrosine kinase which is found concentrated in the focal adhesions that form between cells growing in the presence of extracellular matrix constituents. The encoded protein is a member of the FAK subfamily of protein tyrosine kinases but lacks significant sequence similarity to kinases from other subfamilies. Activation of this gene may be an important early step in cell growth and intracellular signal transduction pathways triggered in response to certain neural peptides or to cell interactions with the extracellular matrix. At least four transcript variants encoding four different isoforms have been found for this gene, but the full-length natures of only two of them have been determined. Tissue specificity: Expressed in all organs tested, in lymphoid cell lines, but most abundantly in brain.RD: Focal adhesion kinase 1 (FAK) is a ubiquitously expressed non-receptor protein tyrosine kinase that is concentrated in the focal adhesions that form between cells growing in the presence of extracellular matrix constituents. This cellular localization is directed by a |
References |
---|
1. Madeleine Toutant, Jeanne-Marie Studler, et al.Mol. Cell. Biol., Nov 2002; 22: 7731 - 7743. 2. Danshan Huang, Anthony T. Cheung, et al. J. Biol. Chem, May 2002; 277: 18151 - 18160. |
Specification |
|
---|---|
Aliases | FAK; FADK; FAK1; FRNK; pp125FAK; PTK2 |
Entrez GeneID | 5747 |
Swissprot | Q05397 |
clone | 10H7 |
WB Predicted band size | 119kDa |
Host/Isotype | Mouse IgG1 |
Antibody Type | Primary antibody |
Storage | Store at 4°C short term. Aliquot and store at -20°C long term. Avoid freeze/thaw cycles. |
Species Reactivity | Human,Mouse |
Immunogen | Purified recombinant fragment of human FAK expressed in E. Coli. |
Formulation | Ascitic fluid containing 0.03% sodium azide. |
Application |
|
---|---|
WB | 1/500 - 1/2000 |
IHC | 1/200 - 1/1000 |
IF/ICC | 1/200 - 1/1000 |
ELISA | 1/10000 |
Product Image
- Western blot analysis using FAK mouse mAb against A549 (1) and NIH/3T3 (2) cell lysate.
- Immunofluorescence analysis of B16 cells using FAK mouse mAb (green). Blue: DRAQ5 fluorescent DNA dye.
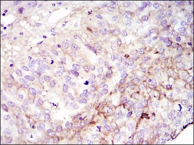
- Immunohistochemical analysis of paraffin-embedded human cervices tumour using FAK mouse mAb with DAB staining
For Reseach Only
Application Key:WB - Western Blot | IHC - Immunohistochemistry | ICC - Immunocytochemistry | FCM - Flow Cytometry | ELISA - Enzyme-linked Immunosorbent Assay | IP - Immunoprecipitation
#20431z

相关产品


