提醒成功

搜索
Mouse Monoclonal Antibody to Cytokeratin 17
-
货号:
P20428 -
别名:
Keratin; type I cytoskeletal 17; Cytokeratin-17; CK-17; Keratin-17; K17 -
应用:
WB,IP,IHC,IF -
反应种属:
Human -
抗体类型:
Primary antibody -
Swissprot:
Q04695 -
规格:
-
数量:
-+ -
说明书:
目录价¥2180

Mouse Monoclonal Antibody to Cytokeratin 17
Description |
---|
Required for the correct growth of hair follicles, in particular for the persistence of the anagen (growth) state (By similarity). Modulates the function of TNF-alpha in the specific context of hair cycling. Regulates protein synthesis and epithelial cell growth through binding to the adapter protein SFN and by stimulating Akt/mTOR pathway (By similarity). Involved in tissue repair. |
Specification |
|
---|---|
Aliases | Keratin; type I cytoskeletal 17; Cytokeratin-17; CK-17; Keratin-17; K17 |
Entrez GeneID | 3872 |
Swissprot | Q04695 |
clone | 9D7 |
WB Predicted band size | Calculated MW: 48 kDa; Observed MW: 48 kDa |
Host/Isotype | Mouse IgG1 |
Antibody Type | Primary antibody |
Storage | Store at 4°C short term. Aliquot and store at -20°C long term. Avoid freeze/thaw cycles. |
Species Reactivity | Human |
Immunogen | Synthetic Peptide of CK17 |
Formulation | Purified antibody in PBS with 0.05% sodium azide,0.5%BSA and 50% glycerol. |
Application |
|
---|---|
WB | 1/500-1/1000 |
IP | 1/10-1/20 |
IHC | 1/50-1/100 |
IF/ICC | 1/50-1/200 |
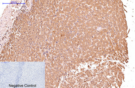
Product Image
- Western blot analysis of Cytokeratin 17 in Hela, MCF-7, 293T lysates using Cytokeratin 17 antibody
- Immunoprecipitation analysis of Cytokeratin 17 in Hela lysates using Cytokeratin 17 antibody
- Immunofluorescence analysis of Cytokeratin 17 in Human breast tissue using CK17 antibody(red),and DAPI (blue).
- Immunohistochemistry analysis of paraffin-embedded Human liver tissue using Cytokeratin 17 antibody.High-pressure and temperature Sodium Citrate pH 6.0 was used for antigen retrieval.Negative control was used by secondary antibody only.
For Reseach Only
Application Key:WB - Western Blot | IHC - Immunohistochemistry | ICC - Immunocytochemistry | FCM - Flow Cytometry | ELISA - Enzyme-linked Immunosorbent Assay | IP - Immunoprecipitation
#P20428

相关产品


