提醒成功
搜索
Rabbit Monoclonal Antibody to Phospho-eIF4E (Ser209)
-
货号:
P20237 -
别名:
EIF4E; EIF4EL1; EIF4F; Eukaryotic translation initiation factor 4E; eIF-4E; eIF4E; eIF-4F 25 kDa subunit; mRNA cap-binding protein -
应用:
WB,IP,IHC,IF -
反应种属:
Human,Mouse,Rat -
抗体类型:
Primary antibody -
Swissprot:
P06730 -
规格:
-
数量:
-+ -
说明书:
目录价¥1980
Rabbit Monoclonal Antibody to Phospho-eIF4E (Ser209)
Description |
|---|
eIF4E, a protein modulates translation of maternal mRNAs in early embryos before the onset of zygotic transcription. eIF4E also influences the overall rate of translation. eIF4E binds to the 7 methyl GTP cap structure of eukaryotic mRNAs. Phosphorylation of eIF4E on serine 209 regulates the affinity of this protein for the 7 methyl GTP cap and/or RNA. Phosphorylation also enhances the interaction of eIF4E with eIF4G, which form a complex known as eIF4F. eIF4E phosphorylation is correlated with increased translational rate in a number of cell types. |
Specification |
|
|---|---|
| Aliases | EIF4E; EIF4EL1; EIF4F; Eukaryotic translation initiation factor 4E; eIF-4E; eIF4E; eIF-4F 25 kDa subunit; mRNA cap-binding protein |
| Entrez GeneID | 1977 |
| Swissprot | P06730 |
| WB Predicted band size | Calculated MW: 25 kDa; Observed MW: 25 kDa |
| Host/Isotype | Rabbit IgG |
| Antibody Type | Primary antibody |
| Storage | Store at 4°C short term. Aliquot and store at -20°C long term. Avoid freeze/thaw cycles. |
| Species Reactivity | Human,Mouse,Rat |
| Immunogen | A synthesized peptide derived from human Phospho-eIF4E (S209) |
| Formulation | Purified antibody in PBS with 0.05% sodium azide. |
Application |
|
|---|---|
| WB | 1/500-1/1000 |
| IP | 1/10-1/20 |
| IHC | 1/50-1/100 |
| IF/ICC | 1/50-1/200 |
Product Image
- Western blot analysis of eIF4E (Phospho-S209) in (1) HEK293 lysates; (2) mouse spleen lysates using Phospho-eIF4E (Ser209) antibody.
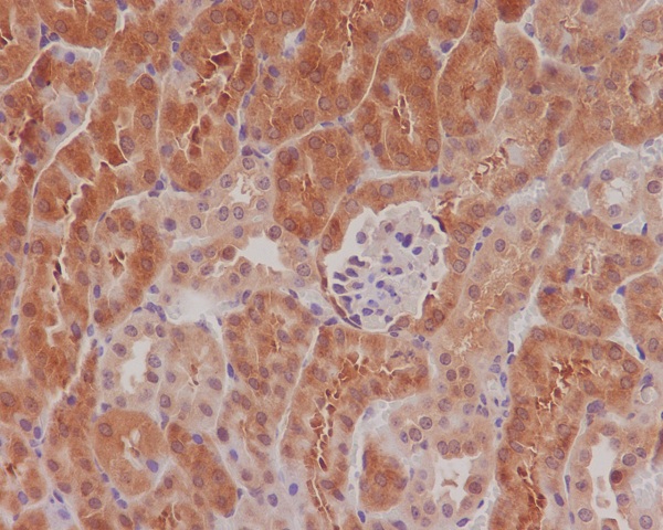
- Immunohistochemistry analysis of paraffin-embedded mouse kidney using Phospho-eIF4E (S209) antibody.High-pressure and temperature Sodium Citrate pH 6.0 was used for antigen retrieval.
For Reseach Only
Application Key:WB - Western Blot | IHC - Immunohistochemistry | ICC - Immunocytochemistry | FCM - Flow Cytometry | ELISA - Enzyme-linked Immunosorbent Assay | IP - Immunoprecipitation
#P20237
相关产品

微信/QQ登录


首页
