提醒成功

搜索
Mouse Monoclonal Antibody to Phospho-Tyrosine
-
货号:
P20211 -
别名:
Phospho-Tyrosine -
应用:
WB,IHC -
反应种属:
Transfected -
抗体类型:
Primary antibody -
Swissprot:
-
规格:
-
数量:
-+ -
说明书:
目录价¥2180

Mouse Monoclonal Antibody to Phospho-Tyrosine
Description |
---|
Tyrosine phosphorylation plays a key role in cellular signaling. Research studies have shown that in cancer, unregulated tyrosine kinase activity can drive malignancy and tumor formation by generating inappropriate proliferation and survival signals. Antibodies specific for phospho-tyrosine have been invaluable reagents in these studies. |
Specification |
|
---|---|
Aliases | Phospho-Tyrosine |
clone | 8B2 |
WB Predicted band size | Refer to figures |
Host/Isotype | Mouse IgG1 |
Antibody Type | Primary antibody |
Storage | Store at 4°C short term. Aliquot and store at -20°C long term. Avoid freeze/thaw cycles. |
Species Reactivity | Transfected |
Immunogen | Purified Protein |
Formulation | Purified antibody in PBS with 0.05% sodium azide,0.5%BSA and 50% glycerol. |
Application |
|
---|---|
WB | 1/500-1/1000 |
IHC | 1/50-1/100 |
Product Image
- Western blot analysis of Phospho-Tyrosine (6G6)in Jurkat, 293T, rat Brain, mouse Brain lysates using Phospho-tyrosine antibody.
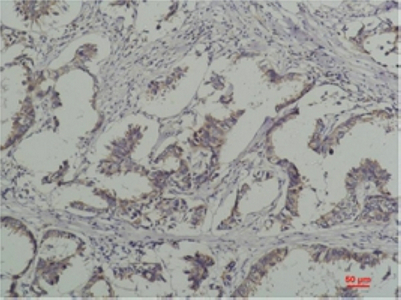
- Immunohistochemistry analysis of paraffin-embedded Human Breast Caricnoma using Phospho-tyrosine antibody.High-pressure and temperature Sodium Citrate pH 6.0 was used for antigen retrieval.
For Reseach Only
Application Key:WB - Western Blot | IHC - Immunohistochemistry | ICC - Immunocytochemistry | FCM - Flow Cytometry | ELISA - Enzyme-linked Immunosorbent Assay | IP - Immunoprecipitation
#P20211

相关产品


