提醒成功

搜索
Rabbit Monoclonal Antibody to Phospho-PML Protein (Ser518)
-
货号:
P20195 -
别名:
PML; MYL; RNF71; TRIM19; Protein PML; Promyelocytic leukemia protein; RING finger protein 71; Tripartite motif-containing protein 19 -
应用:
WB,IHC -
反应种属:
Human -
抗体类型:
Primary antibody -
Swissprot:
P29590 -
规格:
-
数量:
-+ -
说明书:
目录价¥2180

Rabbit Monoclonal Antibody to Phospho-PML Protein (Ser518)
Description |
---|
Regulates RB1 phosphorylation and activity. Required for normal development of the brain cortex during embryogenesis. Can sequester herpes virus and varicella virus proteins inside PML bodies, and thereby inhibit the formation of infectious viral particles. Regulates phosphorylation of ITPR3 and plays a role in the regulation of calcium homeostasis at the endoplasmic reticulum (By similarity). Regulates transcription activity of ELF4. |
Specification |
|
---|---|
Aliases | PML; MYL; RNF71; TRIM19; Protein PML; Promyelocytic leukemia protein; RING finger protein 71; Tripartite motif-containing protein 19 |
Entrez GeneID | 5371 |
Swissprot | P29590 |
WB Predicted band size | Calculated MW: 98 kDa; Observed MW: 98,117 kDa |
Host/Isotype | Rabbit IgG |
Antibody Type | Primary antibody |
Storage | Store at 4°C short term. Aliquot and store at -20°C long term. Avoid freeze/thaw cycles. |
Species Reactivity | Human |
Immunogen | A synthetic phosphopeptide corresponding to residues surrounding Ser518 of human PML Protein |
Formulation | Purified antibody in TBS with 0.05% sodium azide,0.05%BSA and 50% glycerol. |
Application |
|
---|---|
WB | 1/500-1/1000 |
IHC | 1/50-1/100 |
Product Image
- Western blot analysis of Phospho-PML Protein (Ser518) in A549, HL-60, U2OS lysates using Phospho-PML Protein (Ser518) antibody.
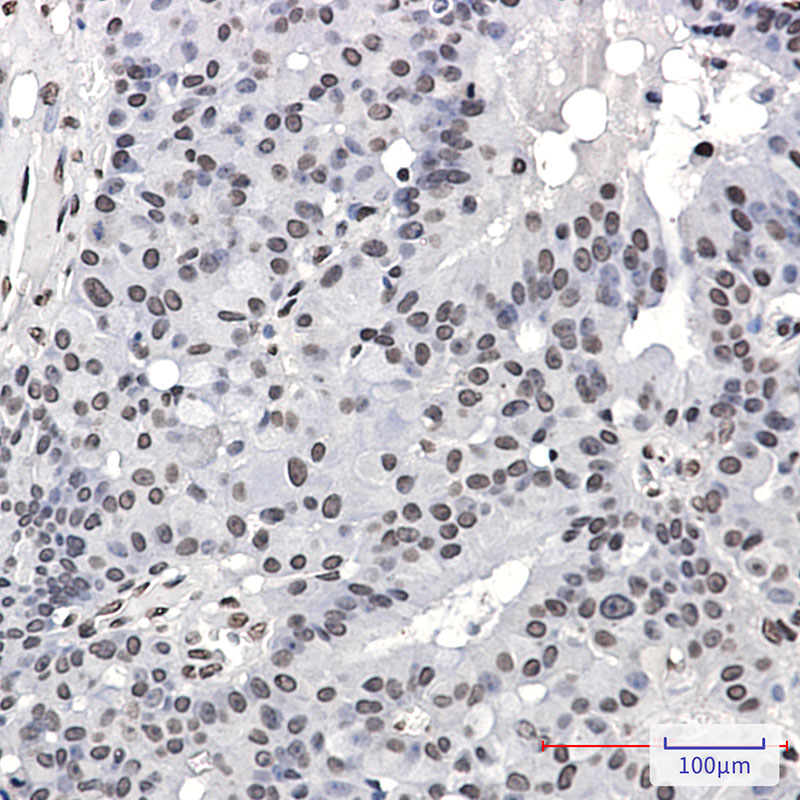
- Immunohistochemistry analysis of paraffin-embedded Human breast cancer using PML Protein (Phospho-Ser518) antibody.High-pressure and temperature Sodium Citrate pH 6.0 was used for antigen retrieval.
For Reseach Only
Application Key:WB - Western Blot | IHC - Immunohistochemistry | ICC - Immunocytochemistry | FCM - Flow Cytometry | ELISA - Enzyme-linked Immunosorbent Assay | IP - Immunoprecipitation
#P20195

相关产品


