提醒成功

搜索
Mouse Monoclonal Antibody to VIMP
-
货号:
31044 -
别名:
SELS; ADO15; SBBI8; SEPS1; AD-015 -
应用:
WB,IHC -
反应种属:
Human -
抗体类型:
Primary antibody -
Swissprot:
Q9BQE4 -
规格:
-
数量:
-+ -
说明书:
目录价¥2180

Mouse Monoclonal Antibody to VIMP
Description |
---|
This gene encodes a member of the selenoprotein family, characterized by a selenocysteine (Sec) residue at the active site. The selenocysteine is encoded by the UGA codon that normally signals translation termination. The 3' UTR of selenoprotein genes have a common stem-loop structure, the sec insertion sequence (SECIS), that is necessary for the recognition of UGA as a Sec codon rather than as a stop signal. Studies suggest that this protein may regulate cytokine production, and thus play a key role in the control of the inflammatory response. Alternative splicing results in multiple transcript variants encoding different isoforms. |
References |
---|
1.Osteoarthritis Cartilage. 2015 Feb;23(2):210-6. 2.Blood Coagul Fibrinolysis. 2015 Mar;26(2):131-5. |
Specification |
|
---|---|
Aliases | SELS; ADO15; SBBI8; SEPS1; AD-015 |
Entrez GeneID | 55829 |
Swissprot | Q9BQE4 |
clone | 7F8G1 |
WB Predicted band size | 21.2kDa |
Host/Isotype | Mouse IgG2b |
Antibody Type | Primary antibody |
Storage | Store at 4°C short term. Aliquot and store at -20°C long term. Avoid freeze/thaw cycles. |
Species Reactivity | Human |
Immunogen | Purified recombinant fragment of human VIMP (AA: 1-187) expressed in E. Coli. |
Formulation | Purified antibody in PBS with 0.05% sodium azide |
Application |
|
---|---|
WB | 1/500 - 1/2000 |
IHC | 1/200 - 1/1000 |
ELISA | 1/10000 |
Product Image
- Black line: Control Antigen (100 ng);Purple line: Antigen (10ng); Blue line: Antigen (50 ng); Red line:Antigen (100 ng)
- Western blot analysis using VIMP mouse mAb against MCF-7 (1), PANC-1 (2), Jurkat (3), HepG2 (4), MOLT4 (5), U251 (6), and A431 (7) cell lysate.
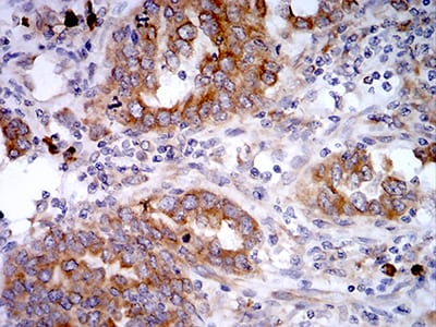
- Immunohistochemical analysis of paraffin-embedded human rectum cancer tissues using VIMP mouse mAb with DAB staining.
- Immunohistochemical analysis of paraffin-embedded human endometrial cancer tissues using VIMP mouse mAb with DAB staining.
For Reseach Only
Application Key:WB - Western Blot | IHC - Immunohistochemistry | ICC - Immunocytochemistry | FCM - Flow Cytometry | ELISA - Enzyme-linked Immunosorbent Assay | IP - Immunoprecipitation
#31044

相关产品


