提醒成功

搜索
Rabbit Polyclonal Antibody to Z385B (N-term)
-
货号:
P30714 -
别名:
Zinc finger protein 385B, Zinc finger protein 533, ZNF385B, ZNF533 -
应用:
WB,IHC-P -
反应种属:
Human, Mouse -
抗体类型:
Primary antibody -
Swissprot:
Q569K4 -
规格:
-
数量:
-+ -
说明书:
目录价¥1980

Rabbit Polyclonal Antibody to Z385B (N-term)
Description |
---|
ZNF385B contains 4 U1-type zinc fingers. ZNF385B is expressed in brain with a potential role in RNA maturation, stability, or transcription regulation. There are 5 known isoforms. |
Specification |
|
---|---|
Aliases | Zinc finger protein 385B, Zinc finger protein 533, ZNF385B, ZNF533 |
Entrez GeneID | 151126 |
Swissprot | Q569K4 |
WB Predicted band size | 50.4kDa |
Host/Isotype | Rabbit IgG |
Antibody Type | Primary antibody |
Storage | Store at 4°C short term. Aliquot and store at -20°C long term. Avoid freeze/thaw cycles. |
Species Reactivity | Human, Mouse |
Immunogen | This Z385B antibody is generated from rabbits immunized with a KLH conjugated synthetic peptide between 1-30 amino acids of human Z385B. |
Formulation | Purified antibody in PBS with 0.05% sodium azide. |
Application |
|
---|---|
WB | 1/1000 |
IHC | 1/100-1/500 |
Product Image
- Z385B Antibody (N-term) (Cat. #P30714) western blot analysis in mouse liver tissue lysates (15ug/lane).This demonstrates the Z385B antibody detected the Z385B protein (arrow).
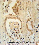
- Z385B Antibody (N-term) (Cat. #P30714) immunohistochemistry analysis in formalin fixed and paraffin embedded human prostate carcinoma followed by peroxidase conjugation of the secondary antibody and DAB staining. This data demonstrates the use of the Z385B Antibody (N-term) for immunohistochemistry. Clinical relevance has not been evaluated.
For Reseach Only
Application Key:WB - Western Blot | IHC - Immunohistochemistry | ICC - Immunocytochemistry | FCM - Flow Cytometry | ELISA - Enzyme-linked Immunosorbent Assay | IP - Immunoprecipitation
#P30714

相关产品


