提醒成功

搜索
Rabbit Polyclonal Antibody to SYN3
-
货号:
P30713 -
别名:
Synapsin-3, Synapsin III, SYN3 -
应用:
WB,IHC-P -
反应种属:
Human -
抗体类型:
Primary antibody -
Swissprot:
O14994 -
规格:
-
数量:
-+ -
说明书:
目录价¥1980

Rabbit Polyclonal Antibody to SYN3
Description |
---|
This gene is a member of the synapsin gene family. Synapsins encode neuronal phosphoproteins which associate with the cytoplasmic surface of synaptic vesicles. Family members are characterized by common protein domains, and they are implicated in synaptogenesis and the modulation of neurotransmitter release, suggesting a potential role in several neuropsychiatric diseases. The protein encoded by this gene shares the synapsin family domain model, with domains A, C, and E exhibiting the highest degree of conservation. The protein contains a unique domain J, located between domains C and E. Based on this gene's localization to 22q12.3, a possible schizophrenia susceptibility locus, and the established neurobiological roles of the synapsins, this family member may represent a candidate gene for schizophrenia. The TIMP3 gene is located within an intron of this gene and is transcribed in the opposite direction. |
Specification |
|
---|---|
Aliases | Synapsin-3, Synapsin III, SYN3 |
Entrez GeneID | 8224 |
Swissprot | O14994 |
WB Predicted band size | 63.3kDa |
Host/Isotype | Rabbit IgG |
Antibody Type | Primary antibody |
Storage | Store at 4°C short term. Aliquot and store at -20°C long term. Avoid freeze/thaw cycles. |
Species Reactivity | Human |
Immunogen | This SYN3 antibody is generated from rabbits immunized with a KLH conjugated synthetic peptide between 363-388 amino acids from the Central region of human SYN3. |
Formulation | Purified antibody in PBS with 0.05% sodium azide. |
Application |
|
---|---|
WB | 1/1000 |
IHC | 1/100-1/500 |
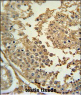
Product Image
- SYN3 Antibody (Center) (Cat. #P30713) western blot analysis in NCI-H460 cell line lysates (15ug/lane).This demonstrates the SYN3 antibody detected the SYN3 protein (arrow).
- SYN3 Antibody (Center) (Cat. #P30713) immunohistochemistry analysis in formalin fixed and paraffin embedded human testis tissue followed by peroxidase conjugation of the secondary antibody and DAB staining. This data demonstrates the use of the SYN3 Antibody (Center) for immunohistochemistry. Clinical relevance has not been evaluated.
For Reseach Only
Application Key:WB - Western Blot | IHC - Immunohistochemistry | ICC - Immunocytochemistry | FCM - Flow Cytometry | ELISA - Enzyme-linked Immunosorbent Assay | IP - Immunoprecipitation
#P30713

相关产品


