提醒成功

搜索
Rabbit Polyclonal Antibody to CC058
-
货号:
P30588 -
别名:
Deleted in autism protein 1, Golgi Protein of 49 kDa, GoPro49, Hypoxia and AKT-induced stem cell factor, HASF, C3orf58, DIA1 -
应用:
WB,IHC-P -
反应种属:
Human, Mouse -
抗体类型:
Primary antibody -
Swissprot:
Q8NDZ4 -
规格:
-
数量:
-+ -
说明书:
目录价¥1980

Rabbit Polyclonal Antibody to CC058
Specification |
|
---|---|
Aliases | Deleted in autism protein 1, Golgi Protein of 49 kDa, GoPro49, Hypoxia and AKT-induced stem cell factor, HASF, C3orf58, DIA1 |
Entrez GeneID | 205428 |
Swissprot | Q8NDZ4 |
WB Predicted band size | 49.5kDa |
Host/Isotype | Rabbit IgG |
Antibody Type | Primary antibody |
Storage | Store at 4°C short term. Aliquot and store at -20°C long term. Avoid freeze/thaw cycles. |
Species Reactivity | Human, Mouse |
Immunogen | This CC058 antibody is generated from rabbits immunized with a KLH conjugated synthetic peptide between 159-188 amino acids from the Central region of human CC058. |
Formulation | Purified antibody in PBS with 0.05% sodium azide. |
Application |
|
---|---|
WB | 1/1000 |
IHC | 1/100-1/500 |
Product Image
- Western blot analysis of CC058 Antibody (Center) (Cat. #P30588) in mouse cerebellum tissue lysates (35ug/lane). CC058 (arrow) was detected using the purified Pab.
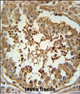
- CC058 Antibody (Center) (Cat. #P30588) immunohistochemistry analysis in formalin fixed and paraffin embedded human testis tissue followed by peroxidase conjugation of the secondary antibody and DAB staining. This data demonstrates the use of the CC058 Antibody (Center) for immunohistochemistry. Clinical relevance has not been evaluated.
For Reseach Only
Application Key:WB - Western Blot | IHC - Immunohistochemistry | ICC - Immunocytochemistry | FCM - Flow Cytometry | ELISA - Enzyme-linked Immunosorbent Assay | IP - Immunoprecipitation
#P30588

相关产品


