提醒成功

搜索
Mouse Monoclonal Antibody to CD14
-
货号:
30590 -
别名:
-
应用:
WB,IHC,FCM -
反应种属:
Human,Mouse,Rat,Rabbit -
抗体类型:
Primary antibody -
Swissprot:
P08571 -
规格:
-
数量:
-+ -
说明书:
目录价¥2180

Mouse Monoclonal Antibody to CD14
Description |
---|
The protein encoded by this gene is a surface antigen that is preferentially expressed on monocytes/macrophages. It cooperates with other proteins to mediate the innate immune response to bacterial lipopolysaccharide. Alternative splicing results in multiple transcript variants encoding the same protein. |
References |
---|
1. J Immunol. 2012 Dec 15;189(12):5729-44. 2. Iran J Immunol. 2011 Jun;8(2):111-9. |
Specification |
|
---|---|
Entrez GeneID | 929 |
Swissprot | P08571 |
clone | 4B4F12 |
WB Predicted band size | 40kDa |
Host/Isotype | Mouse IgG1 |
Antibody Type | Primary antibody |
Storage | Store at 4°C short term. Aliquot and store at -20°C long term. Avoid freeze/thaw cycles. |
Species Reactivity | Human,Mouse,Rat,Rabbit |
Immunogen | Purified recombinant fragment of human CD14 (AA: 20-214) expressed in E. Coli. |
Formulation | Purified antibody in PBS with 0.05% sodium azide |
Application |
|
---|---|
WB | 1/500 - 1/2000 |
IHC | 1/200 - 1/1000 |
FCM | 1/200 - 1/400 |
ELISA | 1/10000 |
Product Image
- Black line: Control Antigen (100 ng); Purple line: Antigen(10ng); Blue line: Antigen (50 ng); Red line: Antigen (100 ng);
- Western blot analysis using CD14 mouse mAb against HepG2 (1), A549 (2), HL60 (3), RAW264.7 (4), Hela (5), HEK293 (6) and NIH/3T3 (7) cell lysate.
- Flow cytometric analysis of Jurkat cells using CD14 mouse mAb (green) and negative control (red).
- Flow cytometric analysis of COS7 cells using CD14 mouse mAb (green) and negative control (red).
- Flow cytometric analysis of Hela cells using CD14 mouse mAb (green) and negative control (red).
- Immunohistochemical analysis of paraffin-embedded human stomach cancer tissues using CD14 mouse mAb with DAB staining.
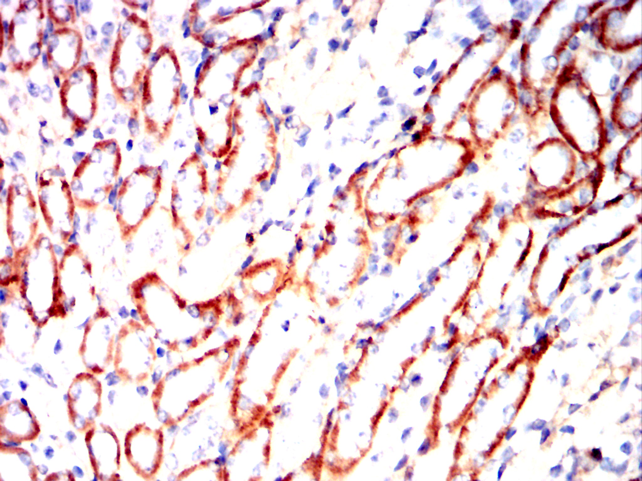
- Immunohistochemical analysis of paraffin-embedded Mouse kidney using CD14 mouse mAb with DAB staining.
- Immunohistochemical analysis of paraffin-embedded Rat kidney using CD14 mouse mAb with DAB staining.
- Immunohistochemical analysis of paraffin-embedded Rabbit kidney using CD14 mouse mAb with DAB staining.
For Reseach Only
Application Key:WB - Western Blot | IHC - Immunohistochemistry | ICC - Immunocytochemistry | FCM - Flow Cytometry | ELISA - Enzyme-linked Immunosorbent Assay | IP - Immunoprecipitation
#30590

相关产品


