提醒成功
搜索
Rabbit Polyclonal Antibody to CDIPT
-
货号:
P30446 -
别名:
CDP-diacylglycerol--inositol 3-phosphatidyltransferase, Phosphatidylinositol synthase, PI synthase, PtdIns synthase, CDIPT, PIS, PIS1 -
应用:
WB,IHC-P,FCM -
反应种属:
Human, Mouse -
抗体类型:
Primary antibody -
Swissprot:
O14735 -
规格:
-
数量:
-+ -
说明书:
目录价¥1980
Rabbit Polyclonal Antibody to CDIPT
Description |
|---|
CDIPT is a protein which is phosphatidylinositol breakdown products that are ubiquitous second messengers that function downstream of many G protein-coupled receptors and tyrosine kinases regulating cell growth, calcium metabolism, and protein kinase C activity. Two enzymes, CDP-diacylglycerol synthase and phosphatidylinositol synthase, are involved in the biosynthesis of phosphatidylinositol. Phosphatidylinositol synthase, a member of the CDP-alcohol phosphatidyl transferase class-I family, is an integral membrane protein found on the cytoplasmic side of the endoplasmic reticulum and the Golgi apparatus. |
Specification |
|
|---|---|
| Aliases | CDP-diacylglycerol--inositol 3-phosphatidyltransferase, Phosphatidylinositol synthase, PI synthase, PtdIns synthase, CDIPT, PIS, PIS1 |
| Entrez GeneID | 10423 |
| Swissprot | O14735 |
| WB Predicted band size | 23.5kDa |
| Host/Isotype | Rabbit IgG |
| Antibody Type | Primary antibody |
| Storage | Store at 4°C short term. Aliquot and store at -20°C long term. Avoid freeze/thaw cycles. |
| Species Reactivity | Human, Mouse |
| Immunogen | This CDIPT antibody is generated from rabbits immunized with a KLH conjugated synthetic peptide between 99-125 amino acids from the Central region of human CDIPT. |
| Formulation | Purified antibody in PBS with 0.05% sodium azide. |
Application |
|
|---|---|
| WB | 1/1000 |
| IHC | 1/100-1/500 |
| FCM | 1/10-1/50 |
Product Image
- Western blot analysis of CDIPT Antibody (Center) (Cat. #P30446) in mouse stomach tissue lysates (35ug/lane). CDIPT (arrow) was detected using the purified Pab.
- CDIPT Antibody (Center) (Cat. #P30446) flow cytometry analysis of MCF-7 cells (bottom histogram) compared to a negative control cell (top histogram).FITC-conjugated goat-anti-rabbit secondary antibodies were used for the analysis.
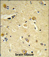
- Formalin-fixed and paraffin-embedded human brain tissue reacted with CDIPT Antibody (Center), which was peroxidase-conjugated to the secondary antibody, followed by DAB staining. This data demonstrates the use of this antibody for immunohistochemistry; clinical relevance has not been evaluated.
For Reseach Only
Application Key:WB - Western Blot | IHC - Immunohistochemistry | ICC - Immunocytochemistry | FCM - Flow Cytometry | ELISA - Enzyme-linked Immunosorbent Assay | IP - Immunoprecipitation
#P30446
相关产品

微信/QQ登录


首页
