提醒成功
搜索
Rabbit Polyclonal Antibody to KIR2DL4
-
货号:
P30445 -
别名:
Killer cell immunoglobulin-like receptor 2DL4, CD158 antigen-like family member D, G9P, Killer cell inhibitory receptor 103AS, KIR-103AS, MHC class I NK cell receptor KIR103AS, CD158d, KIR2DL4, CD158D, KIR103AS -
应用:
WB,IHC-P,FCM -
反应种属:
Human -
抗体类型:
Primary antibody -
Swissprot:
Q99706 -
规格:
-
数量:
-+ -
说明书:
目录价¥1980
Rabbit Polyclonal Antibody to KIR2DL4
Description |
|---|
KIR2DL4 is killer cell immunoglobulin-like receptors (KIRs) which are transmembrane glycoproteins expressed by natural killer cells and subsets of T cells. The KIR genes are polymorphic and highly homologous and they are found in a cluster on chromosome 19q13.4 within the 1 Mb leukocyte receptor complex (LRC). |
Specification |
|
|---|---|
| Aliases | Killer cell immunoglobulin-like receptor 2DL4, CD158 antigen-like family member D, G9P, Killer cell inhibitory receptor 103AS, KIR-103AS, MHC class I NK cell receptor KIR103AS, CD158d, KIR2DL4, CD158D, KIR103AS |
| Entrez GeneID | 3805 |
| Swissprot | Q99706 |
| WB Predicted band size | 41.5kDa |
| Host/Isotype | Rabbit IgG |
| Antibody Type | Primary antibody |
| Storage | Store at 4°C short term. Aliquot and store at -20°C long term. Avoid freeze/thaw cycles. |
| Species Reactivity | Human |
| Immunogen | This KIR2DL4 antibody is generated from rabbits immunized with a KLH conjugated synthetic peptide between 296-323 amino acids from the C-terminal region of human KIR2DL4. |
| Formulation | Purified antibody in PBS with 0.05% sodium azide. |
Application |
|
|---|---|
| WB | 1/1000 |
| IHC | 1/100-1/500 |
| FCM | 1/10-1/50 |
Product Image
- Western blot analysis of KIR2DL4 Antibody (C-term) (Cat. #P30445) in MDA-MB231 cell line lysates (35ug/lane). KIR2DL4 (arrow) was detected using the purified Pab.
- KIR2DL4 Antibody (C-term) (Cat.#P30445) flow cytometry analysis of MDA-MB231 cells (bottom histogram) compared to a negative control cell (top histogram). FITC-conjugated goat-anti-rabbit secondary antibodies were used for the analysis.
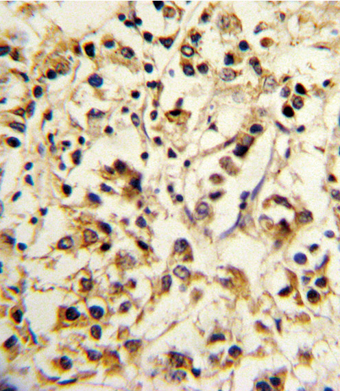
- Formalin-fixed and paraffin-embedded human breast carcinoma reacted with KIR2DL4 Antibody (C-term), which was peroxidase-conjugated to the secondary antibody, followed by DAB staining. This data demonstrates the use of this antibody for immunohistochemistry; clinical relevance has not been evaluated.
For Reseach Only
Application Key:WB - Western Blot | IHC - Immunohistochemistry | ICC - Immunocytochemistry | FCM - Flow Cytometry | ELISA - Enzyme-linked Immunosorbent Assay | IP - Immunoprecipitation
#P30445
相关产品

微信/QQ登录


首页
