提醒成功
搜索
Rabbit Polyclonal Antibody to CLGN
-
货号:
P30440 -
别名:
Calmegin, CLGN -
应用:
WB,IHC-P,FCM -
反应种属:
Human -
抗体类型:
Primary antibody -
Swissprot:
O14967 -
规格:
-
数量:
-+ -
说明书:
目录价¥1980
Rabbit Polyclonal Antibody to CLGN
Description |
|---|
CLGN probably plays an important role in spermatogenesis. Binds calcium ions. |
Specification |
|
|---|---|
| Aliases | Calmegin, CLGN |
| Entrez GeneID | 1047 |
| Swissprot | O14967 |
| WB Predicted band size | 70.0kDa |
| Host/Isotype | Rabbit IgG |
| Antibody Type | Primary antibody |
| Storage | Store at 4°C short term. Aliquot and store at -20°C long term. Avoid freeze/thaw cycles. |
| Species Reactivity | Human |
| Immunogen | This CLGN antibody is generated from rabbits immunized with a KLH conjugated synthetic peptide between 309-336 amino acids from the Central region of human CLGN. |
| Formulation | Purified antibody in PBS with 0.05% sodium azide. |
Application |
|
|---|---|
| WB | 1/1000 |
| IHC | 1/100-1/500 |
| FCM | 1/10-1/50 |
Product Image
- Western blot analysis of CLGN Antibody (Center) (Cat. #P30440) in 293 cell line lysates (35ug/lane). CLGN (arrow) was detected using the purified Pab.
- CLGN Antibody (Center) (Cat. #P30440) flow cytometry analysis of NCI-H460 cells (bottom histogram) compared to a negative control cell (top histogram).FITC-conjugated goat-anti-rabbit secondary antibodies were used for the analysis.
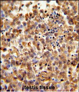
- Formalin-fixed and paraffin-embedded human testis tissue reacted with CLGN Antibody (Center), which was peroxidase-conjugated to the secondary antibody, followed by DAB staining. This data demonstrates the use of this antibody for immunohistochemistry; clinical relevance has not been evaluated.
For Reseach Only
Application Key:WB - Western Blot | IHC - Immunohistochemistry | ICC - Immunocytochemistry | FCM - Flow Cytometry | ELISA - Enzyme-linked Immunosorbent Assay | IP - Immunoprecipitation
#P30440
相关产品

微信/QQ登录


首页
