提醒成功
搜索
Rabbit Polyclonal Antibody to CLTA
-
货号:
P30439 -
别名:
Clathrin light chain A, Lca, CLTA -
应用:
WB,IHC-P,FCM -
反应种属:
Human -
抗体类型:
Primary antibody -
Swissprot:
P09496 -
规格:
-
数量:
-+ -
说明书:
目录价¥1980
Rabbit Polyclonal Antibody to CLTA
Description |
|---|
Clathrin is a large, soluble protein composed of heavy and light chains. It functions as the main structural component of the lattice-type cytoplasmic face of coated pits and vesicles which entrap specific macromolecules during receptor-mediated endocytosis. CLTA is one of two clathrin light chain proteins which are believed to function as regulatory elements. |
Specification |
|
|---|---|
| Aliases | Clathrin light chain A, Lca, CLTA |
| Entrez GeneID | 1211 |
| Swissprot | P09496 |
| WB Predicted band size | 27.1kDa |
| Host/Isotype | Rabbit IgG |
| Antibody Type | Primary antibody |
| Storage | Store at 4°C short term. Aliquot and store at -20°C long term. Avoid freeze/thaw cycles. |
| Species Reactivity | Human |
| Immunogen | This CLTA antibody is generated from rabbits immunized with a KLH conjugated synthetic peptide between 99-127 amino acids from the Central region of human CLTA. |
| Formulation | Purified antibody in PBS with 0.05% sodium azide. |
Application |
|
|---|---|
| WB | 1/1000 |
| IHC | 1/100-1/500 |
| FCM | 1/10-1/50 |
Product Image
- Western blot analysis of CLTA Antibody (Center) (Cat. #P30439) in MDA-MB231 cell line lysates (35ug/lane). CLTA (arrow) was detected using the purified Pab.
- Western blot analysis of CLTA (arrow) using rabbit polyclonal CLTA Antibody (Center) (Cat. #P30439). 293 cell lysates (2 ug/lane) either nontransfected (Lane 1) or transiently transfected (Lane 2) with the CLTA gene.
- CLTA Antibody (Center) (Cat. #P30439) flow cytometric analysis of MDA-MB231 cells (right histogram) compared to a negative control cell (left histogram).FITC-conjugated goat-anti-rabbit secondary antibodies were used for the analysis.
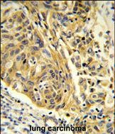
- Formalin-fixed and paraffin-embedded human lung carcinoma reacted with CLTA Antibody (Center), which was peroxidase-conjugated to the secondary antibody, followed by DAB staining. This data demonstrates the use of this antibody for immunohistochemistry; clinical relevance has not been evaluated.
For Reseach Only
Application Key:WB - Western Blot | IHC - Immunohistochemistry | ICC - Immunocytochemistry | FCM - Flow Cytometry | ELISA - Enzyme-linked Immunosorbent Assay | IP - Immunoprecipitation
#P30439
相关产品

微信/QQ登录


首页
