提醒成功
搜索
Rabbit Polyclonal Antibody to CYP2J2 (N-term)
-
货号:
P30436 -
别名:
Cytochrome P450 2J2, Arachidonic acid epoxygenase, CYPIIJ2, CYP2J2 -
应用:
WB,IHC-P,FCM -
反应种属:
Human -
抗体类型:
Primary antibody -
Swissprot:
P51589 -
规格:
-
数量:
-+ -
说明书:
目录价¥1980
Rabbit Polyclonal Antibody to CYP2J2 (N-term)
Description |
|---|
CYP2J2 is a member of the cytochrome P450 superfamily of enzymes. The cytochrome P450 proteins are monooxygenases which catalyze many reactions involved in drug metabolism and synthesis of cholesterol, steroids and other lipids. This protein localizes to the endoplasmic reticulum and is thought to be the predominant enzyme responsible for epoxidation of endogenous arachidonic acid in cardiac tissue. |
Specification |
|
|---|---|
| Aliases | Cytochrome P450 2J2, Arachidonic acid epoxygenase, CYPIIJ2, CYP2J2 |
| Entrez GeneID | 1573 |
| Swissprot | P51589 |
| WB Predicted band size | 57.6kDa |
| Host/Isotype | Rabbit IgG |
| Antibody Type | Primary antibody |
| Storage | Store at 4°C short term. Aliquot and store at -20°C long term. Avoid freeze/thaw cycles. |
| Species Reactivity | Human |
| Immunogen | This CYP2J2 antibody is generated from rabbits immunized with a KLH conjugated synthetic peptide between 96-124 amino acids from the N-terminal region of human CYP2J2. |
| Formulation | Purified antibody in PBS with 0.05% sodium azide,1%BSA and 50% glycerol.prepared by Saturated Ammonium Sulfate (SAS) . |
Application |
|
|---|---|
| WB | 1/1000 |
| IHC | 1/100-1/500 |
| FCM | 1/10-1/50 |
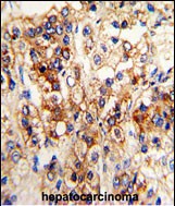
Product Image
- Western blot analysis of CYP2J2 Antibody (N-term) (Cat. #P30436) in HepG2 cell line lysates (35ug/lane). CYP2J2 (arrow) was detected using the purified Pab.
- Flow cytometric analysis of HepG2 cells using CYP2J2 Antibody (N-term)(bottom histogram) compared to a negative control cell (top histogram). FITC-conjugated goat-anti-rabbit secondary antibodies were used for the analysis.
- Formalin-fixed and paraffin-embedded human hepatocarcinoma reacted with CYP2J2 Antibody (N-term), which was peroxidase-conjugated to the secondary antibody, followed by DAB staining. This data demonstrates the use of this antibody for immunohistochemistry; clinical relevance has not been evaluated.
For Reseach Only
Application Key:WB - Western Blot | IHC - Immunohistochemistry | ICC - Immunocytochemistry | FCM - Flow Cytometry | ELISA - Enzyme-linked Immunosorbent Assay | IP - Immunoprecipitation
#P30436
相关产品

微信/QQ登录


首页
