提醒成功

搜索
Rabbit Polyclonal Antibody to CCT3
-
货号:
P30393 -
别名:
T-complex protein 1 subunit gamma, TCP-1-gamma, CCT-gamma, hTRiC5, CCT3, CCTG, TRIC5 -
应用:
WB,IHC-P,FCM -
反应种属:
Human -
抗体类型:
Primary antibody -
Swissprot:
P49368 -
规格:
-
数量:
-+ -
说明书:
目录价¥1980

Rabbit Polyclonal Antibody to CCT3
Description |
---|
CCT3 is a molecular chaperone that is member of the chaperonin containing TCP1 complex (CCT), also known as the TCP1 ring complex (TRiC). This complex consists of two identical stacked rings, each containing eight different proteins. Unfolded polypeptides enter the central cavity of the complex and are folded in an ATP-dependent manner. The complex folds various proteins, including actin and tubulin. |
Specification |
|
---|---|
Aliases | T-complex protein 1 subunit gamma, TCP-1-gamma, CCT-gamma, hTRiC5, CCT3, CCTG, TRIC5 |
Entrez GeneID | 7203 |
Swissprot | P49368 |
WB Predicted band size | 60.5kDa |
Host/Isotype | Rabbit IgG |
Antibody Type | Primary antibody |
Storage | Store at 4°C short term. Aliquot and store at -20°C long term. Avoid freeze/thaw cycles. |
Species Reactivity | Human |
Immunogen | This CCT3 antibody is generated from rabbits immunized with a KLH conjugated synthetic peptide between 298-326 amino acids from the Central region of human CCT3. |
Formulation | Purified antibody in PBS with 0.05% sodium azide,1%BSA and 50% glycerol.prepared by Saturated Ammonium Sulfate (SAS) . |
Application |
|
---|---|
WB | 1/1000 |
IHC | 1/100-1/500 |
FCM | 1/10-1/50 |
Product Image
- Western blot analysis of CCT3 Antibody (Center) (Cat. #P30393) in MCF7,CEM,K562,HL-60,Hela cell line lysates (35ug/lane).CCT3 (arrow) was detected using the purified Pab.
- Western blot analysis of CCT3 (arrow) using rabbit polyclonal CCT3 Antibody (Center) (Cat. #P30393). 293 cell lysates (2 ug/lane) either nontransfected (Lane 1) or transiently transfected with the CCT3 gene (Lane 2) .
- Flow cytometric analysis of K562 cells using CCT3 Antibody (Center)(bottom histogram) compared to a negative control cell (top histogram)FITC-conjugated goat-anti-rabbit secondary antibodies were used for the analysis.
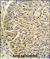
- Formalin-fixed and paraffin-embedded human lung carcinoma reacted with CCT3 Antibody (Center), which was peroxidase-conjugated to the secondary antibody, followed by DAB staining. This data demonstrates the use of this antibody for immunohistochemistry; clinical relevance has not been evaluated.
For Reseach Only
Application Key:WB - Western Blot | IHC - Immunohistochemistry | ICC - Immunocytochemistry | FCM - Flow Cytometry | ELISA - Enzyme-linked Immunosorbent Assay | IP - Immunoprecipitation
#P30393

相关产品


