提醒成功

搜索
Mouse Monoclonal Antibody to PAX5
-
货号:
30395 -
别名:
BSAP -
应用:
IHC -
反应种属:
Human -
抗体类型:
Primary antibody -
Swissprot:
Q02548 -
规格:
-
数量:
-+ -
说明书:
目录价¥2180

Mouse Monoclonal Antibody to PAX5
Description |
---|
This gene encodes a member of the paired box (PAX) family of transcription factors. The central feature of this gene family is a novel, highly conserved DNA-binding motif, known as the paired box. PAX proteins are important regulators in early development, and alterations in the expression of their genes are thought to contribute to neoplastic transformation. This gene encodes the B-cell lineage specific activator protein that is expressed at early, but not late stages of B-cell differentiation. Its expression has also been detected in developing CNS and testis and so the encoded protein may also play a role in neural development and spermatogenesis. This gene is located at 9p13, which is involved in t(9;14)(p13;q32) translocations recurring in small lymphocytic lymphomas of the plasmacytoid subtype, and in derived large-cell lymphomas. This translocation brings the potent E-mu enhancer of the IgH gene into close proximity of the PAX5 promoter, suggesting that the deregulation of transcription of this gene contributes to the pathogenesis of these lymphomas. Alternatively spliced transcript variants encoding different isoforms have been described but their biological validity has not been determined. |
References |
---|
1.Cancer Res. 2011 Dec 15;71(24):7345-50. 2.Am J Clin Pathol. 2010 Jan;133(1):41-8. |
Specification |
|
---|---|
Aliases | BSAP |
Entrez GeneID | 5079 |
Swissprot | Q02548 |
clone | 7D3 |
WB Predicted band size | 45kDa |
Host/Isotype | Mouse IgG1 |
Antibody Type | Primary antibody |
Storage | Store at 4°C short term. Aliquot and store at -20°C long term. Avoid freeze/thaw cycles. |
Species Reactivity | Human |
Immunogen | Purified recombinant fragment of human PAX5 (AA: 235-382) expressed in E. Coli. |
Formulation | Purified antibody in PBS with 0.05% sodium azide |
Application |
|
---|---|
IHC | 1/200 - 1/1000 |
ELISA | 1/10000 |
Product Image
- Black line: Control Antigen (100 ng); Purple line: Antigen(10ng); Blue line: Antigen (50 ng); Red line: Antigen (100 ng);
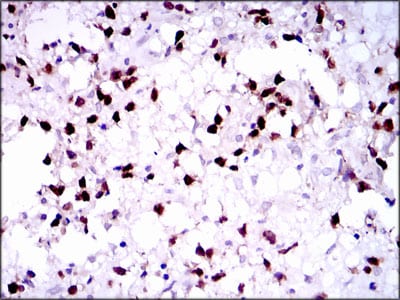
- Immunohistochemical analysis of paraffin-embedded human brain tumors tissues using PAX5 mouse mAb with DAB staining.
- Immunohistochemical analysis of paraffin-embedded human endometrial cancer tissues using PAX5 mouse mAb with DAB staining.
For Reseach Only
Application Key:WB - Western Blot | IHC - Immunohistochemistry | ICC - Immunocytochemistry | FCM - Flow Cytometry | ELISA - Enzyme-linked Immunosorbent Assay | IP - Immunoprecipitation
#30395

相关产品


