提醒成功

搜索
Mouse Monoclonal Antibody to AlCAM
-
货号:
30398 -
别名:
MEMD; CD166; FLJ38514; MGC71733 -
应用:
WB,IHC -
反应种属:
Human -
抗体类型:
Primary antibody -
Swissprot:
Q13740 -
规格:
-
数量:
-+ -
说明书:
目录价¥2180

Mouse Monoclonal Antibody to AlCAM
Description |
---|
This gene encodes activated leukocyte cell adhesion molecule (ALCAM), also known as CD166 (cluster of differentiation 166), which is a member of a subfamily of immunoglobulin receptors with five immunoglobulin-like domains (VVC2C2C2) in the extracellular domain. This protein binds to T-cell differentiation antigene CD6, and is implicated in the processes of cell adhesion and migration. Multiple alternatively spliced transcript variants encoding different isoforms have been found. |
References |
---|
1.Vascul Pharmacol. 2011 Mar-Jun;54(3-6):93-9. 2.Int J Gynecol Cancer. 2011 Apr;21(3):523-8. |
Specification |
|
---|---|
Aliases | MEMD; CD166; FLJ38514; MGC71733 |
Entrez GeneID | 214 |
Swissprot | Q13740 |
clone | 5B3 |
WB Predicted band size | 65.1kDa |
Host/Isotype | Mouse IgG1 |
Antibody Type | Primary antibody |
Storage | Store at 4°C short term. Aliquot and store at -20°C long term. Avoid freeze/thaw cycles. |
Species Reactivity | Human |
Immunogen | Purified recombinant fragment of human AlCAM (AA: 405-524) expressed in E. Coli. |
Formulation | Purified antibody in PBS with 0.05% sodium azide |
Application |
|
---|---|
WB | 1/500 - 1/2000 |
IHC | 1/200 - 1/1000 |
ELISA | 1/10000 |
Product Image
- Black line: Control Antigen (100 ng); Purple line: Antigen(10ng); Blue line: Antigen (50 ng); Red line: Antigen (100 ng);
- Western blot analysis using AlCAM mouse mAb against L1210 (1) cell lysate, and Mouse spleen (2) tissue lysate.
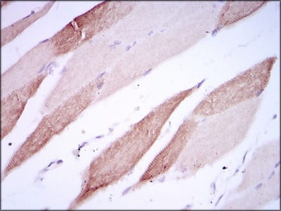
- Immunohistochemical analysis of paraffin-embedded human striated muscle tissues using AlCAM mouse mAb with DAB staining.
For Reseach Only
Application Key:WB - Western Blot | IHC - Immunohistochemistry | ICC - Immunocytochemistry | FCM - Flow Cytometry | ELISA - Enzyme-linked Immunosorbent Assay | IP - Immunoprecipitation
#30398

相关产品


