提醒成功
搜索
产品中心
Product Center条件筛选
全部清除
-
Category
-
Host
-
Antibody Type
-
Application
-
Conjugation
-
Research Field
-
Modified
-
Targets
-
Antibody Pair
-
Host/Isotype
-
Species Reactivity
-
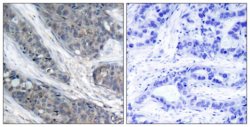
货号:P40212Stathmin1(Phospho-Ser38)
应用:WB,IHC 别名:STMN1; STN1; stathmin 反应种属:Human,Mouse,Rat目录价 ¥2180
加入对比加入购物车 -
加入对比加入购物车
-
加入对比加入购物车
-
加入对比加入购物车
-
加入对比加入购物车
-
加入对比加入购物车
-
加入对比加入购物车
-
加入对比加入购物车
-
货号:P40220Stathmin1(Phospho-Ser16)
应用:WB,IHC 别名:STMN1; STN1; stathmin 反应种属:Human,Mouse,Rat目录价 ¥2180
加入对比加入购物车 -
加入对比加入购物车
-
加入对比加入购物车
-
加入对比加入购物车

微信/QQ登录


首页


