提醒成功
搜索
Rabbit Polyclonal Antibody to NARS2
-
货号:
P30280 -
别名:
Probable asparagine--tRNA ligase, mitochondrial, Asparaginyl-tRNA synthetase, AsnRS, NARS2 -
应用:
WB,IHC-P -
反应种属:
Human -
抗体类型:
Primary antibody -
Swissprot:
Q96I59 -
规格:
-
数量:
-+ -
说明书:
目录价¥1980
Rabbit Polyclonal Antibody to NARS2
Description |
|---|
Asparagine-tRNA ligase (EC 6.1.1.22) catalyzes the chemical reaction: ATP + L-asparagine + tRNAAsn <---> AMP + diphosphate + L-asparaginyl-tRNAAsn. This enzyme participates in alanine and aspartate metabolism and aminoacyl-tRNA biosynthesis. |
Specification |
|
|---|---|
| Aliases | Probable asparagine--tRNA ligase, mitochondrial, Asparaginyl-tRNA synthetase, AsnRS, NARS2 |
| Entrez GeneID | 79731 |
| Swissprot | Q96I59 |
| WB Predicted band size | 54.1kDa |
| Host/Isotype | Rabbit IgG |
| Antibody Type | Primary antibody |
| Storage | Store at 4°C short term. Aliquot and store at -20°C long term. Avoid freeze/thaw cycles. |
| Species Reactivity | Human |
| Immunogen | This NARS2 antibody is generated from rabbits immunized with a KLH conjugated synthetic peptide between 445-474 amino acids from the C-terminal region of human NARS2. |
| Formulation | Purified antibody in PBS with 0.05% sodium azide,1%BSA and 50% glycerol.prepared by Saturated Ammonium Sulfate (SAS) . |
Application |
|
|---|---|
| WB | 1/1000 |
| IHC | 1/100-1/500 |
Product Image
- Western blot analysis of anti-NARS2 Antibody (C-term) (Cat.#P30280) in Hela cell line lysates (35ug/lane).NARS2(arrow) was detected using the purified Pab.
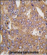
- Formalin-fixed and paraffin-embedded human prostata carcinoma tissue reacted with NARS2 antibody (C-term) (Cat.#P30280), which was peroxidase-conjugated to the secondary antibody, followed by DAB staining. This data demonstrates the use of this antibody for immunohistochemistry; clinical relevance has not been evaluated.
For Reseach Only
Application Key:WB - Western Blot | IHC - Immunohistochemistry | ICC - Immunocytochemistry | FCM - Flow Cytometry | ELISA - Enzyme-linked Immunosorbent Assay | IP - Immunoprecipitation
#P30280
相关产品

微信/QQ登录


首页
