提醒成功

搜索
Mouse Monoclonal Antibody to IL1B
-
货号:
30282 -
别名:
IL-1; IL1F2; IL1-BETA -
应用:
IHC,IF -
反应种属:
Human -
抗体类型:
Primary antibody -
Swissprot:
P01584 -
规格:
-
数量:
-+ -
说明书:
目录价¥2180

Mouse Monoclonal Antibody to IL1B
Description |
---|
The modification of proteins with ubiquitin is an important cellular mechanism for targeting abnormal or short-lived proteins for degradation. Ubiquitination involves at least three classes of enzymes: ubiquitin-activating enzymes, or E1s, ubiquitin-conjugating enzymes, or E2s, and ubiquitin-protein ligases, or E3s. This gene encodes a member of the E2 ubiquitin-conjugating enzyme family. Four alternatively spliced transcript variants encoding the same protein have been found for this gene. |
References |
---|
1. Cell Signal. 2009 Dec;21(12):1935-44. 2. Nat Struct Mol Biol. 2009 Sep;16(9):945-52. |
Specification |
|
---|---|
Aliases | IL-1; IL1F2; IL1-BETA |
Entrez GeneID | 3553 |
Swissprot | P01584 |
clone | 3A6 |
WB Predicted band size | 31kDa |
Host/Isotype | Mouse IgG1 |
Antibody Type | Primary antibody |
Storage | Store at 4°C short term. Aliquot and store at -20°C long term. Avoid freeze/thaw cycles. |
Species Reactivity | Human |
Immunogen | Purified recombinant fragment of human IL1B expressed in E. Coli. |
Formulation | Purified antibody in PBS with 0.05% sodium azide. |
Application |
|
---|---|
IHC | 1/200 - 1/1000 |
IF/ICC | 1/200 - 1/1000 |
ELISA | 1/10000 |
Product Image
- Black line: Control Antigen (100 ng); Purple line: Antigen(10ng); Blue line: Antigen (50 ng); Red line: Antigen (100 ng);
- Immunofluorescence analysis of HepG2 cells using IL1B mouse mAb (green). Blue: DRAQ5 fluorescent DNA dye. Red: Actin filaments have been labeled with Alexa Fluor-555 phalloidin.
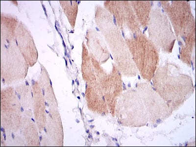
- Immunohistochemical analysis of paraffin-embedded human muscle tissues using IL1B mouse mAb with DAB staining.
- Immunohistochemical analysis of paraffin-embedded human lung cancer tissues using IL1B mouse mAb with DAB staining.
For Reseach Only
Application Key:WB - Western Blot | IHC - Immunohistochemistry | ICC - Immunocytochemistry | FCM - Flow Cytometry | ELISA - Enzyme-linked Immunosorbent Assay | IP - Immunoprecipitation
#30282

相关产品


