提醒成功
搜索
Rabbit Polyclonal Antibody to CDK5R1(p35)
-
货号:
P30279 -
别名:
Cyclin-dependent kinase 5 activator 1, CDK5 activator 1, Cyclin-dependent kinase 5 regulatory subunit 1, TPKII regulatory subunit, Cyclin-dependent kinase 5 activator 1, p35, p35, Cyclin-dependent kinase 5 activator 1, p25, p25, Tau protein kinase II 23 kDa subunit, p23, CDK5R1, CDK5R, NCK5A -
应用:
WB,IHC-P -
反应种属:
Human -
抗体类型:
Primary antibody -
Swissprot:
Q15078 -
规格:
-
数量:
-+ -
说明书:
目录价¥1980
Rabbit Polyclonal Antibody to CDK5R1(p35)
Description |
|---|
p35 is a neuron-specific activator of cyclin-dependent kinase 5 (CDK5); the activation of CDK5 is required for proper development of the central nervous system. The p35 form of this protein is proteolytically cleaved by calpain, generating a p25 form. The cleavage of p35 into p25 results in relocalization of the protein from the cell periphery to nuclear and perinuclear regions. P25 deregulates CDK5 activity by prolonging its activation and changing its cellular location. The p25 form accumulates in the brain neurons of patients with Alzheimer's disease. This accumulation correlates with an increase in CDK5 kinase activity, and may lead to aberrantly phosphorylated forms of the microtubule-associated protein tau, which contributes to Alzheimer's disease. |
Specification |
|
|---|---|
| Aliases | Cyclin-dependent kinase 5 activator 1, CDK5 activator 1, Cyclin-dependent kinase 5 regulatory subunit 1, TPKII regulatory subunit, Cyclin-dependent kinase 5 activator 1, p35, p35, Cyclin-dependent kinase 5 activator 1, p25, p25, Tau protein kinase II 23 kDa subunit, p23, CDK5R1, CDK5R, NCK5A |
| Entrez GeneID | 8851 |
| Swissprot | Q15078 |
| WB Predicted band size | 34.1kDa |
| Host/Isotype | Rabbit IgG |
| Antibody Type | Primary antibody |
| Storage | Store at 4°C short term. Aliquot and store at -20°C long term. Avoid freeze/thaw cycles. |
| Species Reactivity | Human |
| Immunogen | This CDK5R1(p35) antibody is generated from rabbits immunized with a KLH conjugated synthetic peptide between 272-301 amino acids from the C-terminal region of human CDK5R1(p35). |
| Formulation | Purified antibody in PBS with 0.05% sodium azide. |
Application |
|
|---|---|
| WB | 1/1000 |
| IHC | 1/100-1/500 |
Product Image
- CDK5R1 Antibody (C-term) (Cat. #P30279) western blot analysis in A2058 cell line lysates (35ug/lane).This demonstrates the CDK5R1 antibody detected the CDK5R1 protein (arrow).
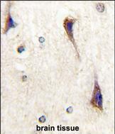
- Formalin-fixed and paraffin-embedded human brain tissue reacted with CDK5R1(p35) Antibody (C-term) (Cat.#P30279), which was peroxidase-conjugated to the secondary antibody, followed by DAB staining. This data demonstrates the use of this antibody for immunohistochemistry; clinical relevance has not been evaluated.
For Reseach Only
Application Key:WB - Western Blot | IHC - Immunohistochemistry | ICC - Immunocytochemistry | FCM - Flow Cytometry | ELISA - Enzyme-linked Immunosorbent Assay | IP - Immunoprecipitation
#P30279
相关产品

微信/QQ登录


首页
