提醒成功
搜索
Rabbit Polyclonal Antibody to HDGF
-
货号:
P30262 -
别名:
Hepatoma-derived growth factor, HDGF, High mobility group protein 1-like 2, HMG-1L2, HDGF, HMG1L2 -
应用:
WB,IHC-P,IF -
反应种属:
Human, Mouse -
抗体类型:
Primary antibody -
Swissprot:
P51858 -
规格:
-
数量:
-+ -
说明书:
目录价¥1980
Rabbit Polyclonal Antibody to HDGF
Description |
|---|
HDGF is a member of the hepatoma-derived growth factor family. This protein has mitogenic and DNA-binding activity and may play a role in cellular proliferation and differentiation. |
Specification |
|
|---|---|
| Aliases | Hepatoma-derived growth factor, HDGF, High mobility group protein 1-like 2, HMG-1L2, HDGF, HMG1L2 |
| Entrez GeneID | 3068 |
| Swissprot | P51858 |
| WB Predicted band size | 26.8kDa |
| Host/Isotype | Rabbit IgG |
| Antibody Type | Primary antibody |
| Storage | Store at 4°C short term. Aliquot and store at -20°C long term. Avoid freeze/thaw cycles. |
| Species Reactivity | Human, Mouse |
| Immunogen | This HDGF antibody is generated from rabbits immunized with a KLH conjugated synthetic peptide between 171-197 amino acids from the C-terminal region of human HDGF. |
| Formulation | Purified antibody in PBS with 0.05% sodium azide,1%BSA and 50% glycerol.prepared by Saturated Ammonium Sulfate (SAS) . |
Application |
|
|---|---|
| WB | 1/1000 |
| IHC | 1/100-1/500 |
| IF/ICC | 1/10-1/50 |
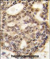
Product Image
- Western blot analysis of anti-HDGF Pab (Cat.#P30262) in Hela cell line lysates (35ug/lane). HDGF(arrow) was detected using the purified Pab.
- Confocal immunofluorescent analysis of HDGF Antibody (C-term)(Cat#P30262) with SK-BR-3 cell followed by Alexa Fluor 488-conjugated goat anti-rabbit lgG (green).DAPI was used to stain the cell nuclear (blue).
- Formalin-fixed and paraffin-embedded human hepatocarcinoma tissue reacted with HDGF antibody (C-term) (Cat.#P30262), which was peroxidase-conjugated to the secondary antibody, followed by DAB staining. This data demonstrates the use of this antibody for immunohistochemistry; clinical relevance has not been evaluated.
For Reseach Only
Application Key:WB - Western Blot | IHC - Immunohistochemistry | ICC - Immunocytochemistry | FCM - Flow Cytometry | ELISA - Enzyme-linked Immunosorbent Assay | IP - Immunoprecipitation
#P30262
相关产品

微信/QQ登录


首页
