提醒成功
搜索
Rabbit Polyclonal Antibody to Phospho-ABL1(Y393)/ABL2(439)
-
货号:
P30259 -
别名:
Tyrosine-protein kinase ABL1, Abelson murine leukemia viral oncogene homolog 1, Abelson tyrosine-protein kinase 1, Proto-oncogene c-Abl, p150, ABL1, ABL, JTK7 -
应用:
WB,IHC-P -
反应种属:
Human -
抗体类型:
Primary antibody -
Swissprot:
P00519 -
规格:
-
数量:
-+ -
说明书:
目录价¥2180
Rabbit Polyclonal Antibody to Phospho-ABL1(Y393)/ABL2(439)
Description |
|---|
ABL2 is a cytoplasmic tyrosine kinase which is closely related to but distinct from ABL1. The similarity of the proteins includes the tyrosine kinase domains and extends amino-terminal to include the SH2 and SH3 domains. ABL2 is expressed in both normal and tumor cells. |
Specification |
|
|---|---|
| Aliases | Tyrosine-protein kinase ABL1, Abelson murine leukemia viral oncogene homolog 1, Abelson tyrosine-protein kinase 1, Proto-oncogene c-Abl, p150, ABL1, ABL, JTK7 |
| Entrez GeneID | 25 |
| Swissprot | P00519 |
| WB Predicted band size | 128.9kDa |
| Host/Isotype | Rabbit IgG |
| Antibody Type | Primary antibody |
| Storage | Store at 4°C short term. Aliquot and store at -20°C long term. Avoid freeze/thaw cycles. |
| Species Reactivity | Human |
| Immunogen | This ABL Antibody is generated from rabbits immunized with a KLH conjugated synthetic phosphopeptide corresponding to amino acid residues surrounding Y393 of human ABL1 or Y439 of human ABL2. |
| Formulation | Purified antibody in PBS with 0.05% sodium azide. |
Application |
|
|---|---|
| WB | 1/1000 |
| IHC | 1/100-1/500 |
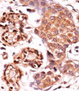
Product Image
- Dot blot analysis of ABL1(Y393)/ABL2(439) Phospho-specific Pab (Cat. #P30259) on nitrocellulose membrane. 50ng of Phospho-peptide or Non Phospho-peptide per dot were adsorbed. Antibody working concentrations are 0.5ug per ml.
- Western blot analysis of Phospho-ABL1(Y393)/ABL2(439) Antibody Pab (Cat. #P30259) in A2058 cell line lysate (35ug/lane). ABL (arrow) was detected using the purified Pab.
- Formalin-fixed and paraffin-embedded human cancer tissue reacted with the primary antibody, which was peroxidase-conjugated to the secondary antibody, followed by AEC staining. This data demonstrates the use of this antibody for immunohistochemistry; clinical relevance has not been evaluated. BC = breast carcinoma; HC = hepatocarcinoma.
For Reseach Only
Application Key:WB - Western Blot | IHC - Immunohistochemistry | ICC - Immunocytochemistry | FCM - Flow Cytometry | ELISA - Enzyme-linked Immunosorbent Assay | IP - Immunoprecipitation
#P30259
相关产品

微信/QQ登录


首页
