提醒成功

搜索
Mouse Monoclonal Antibody to MCM2
-
货号:
30260 -
别名:
BM28; CCNL1; CDCL1; cdc19; D3S3194; MITOTIN; KIAA0030; MGC10606 -
应用:
WB,IHC,FCM -
反应种属:
Human,Mouse,Rat,Monkey -
抗体类型:
Primary antibody -
Swissprot:
P49736 -
规格:
-
数量:
-+ -
说明书:
目录价¥2180

Mouse Monoclonal Antibody to MCM2
Description |
---|
The protein encoded by this gene is one of the highly conserved mini-chromosome maintenance proteins (MCM) that are involved in the initiation of eukaryotic genome replication. The hexameric protein complex formed by MCM proteins is a key component of the pre-replication complex (pre_RC) and may be involved in the formation of replication forks and in the recruitment of other DNA replication related proteins. This protein forms a complex with MCM4, 6, and 7, and has been shown to regulate the helicase activity of the complex. This protein is phosphorylated, and thus regulated by, protein kinases CDC2 and CDC7. |
References |
---|
1. Mol Cell. 2009 Jul 31;35(2):206-16. 2. J Cutan Pathol. 2009 Oct;36(10):1121-2. |
Specification |
|
---|---|
Aliases | BM28; CCNL1; CDCL1; cdc19; D3S3194; MITOTIN; KIAA0030; MGC10606 |
Entrez GeneID | 4171 |
Swissprot | P49736 |
clone | 2B3 |
WB Predicted band size | 125kDa |
Host/Isotype | Mouse IgG1 |
Antibody Type | Primary antibody |
Storage | Store at 4°C short term. Aliquot and store at -20°C long term. Avoid freeze/thaw cycles. |
Species Reactivity | Human,Mouse,Rat,Monkey |
Immunogen | Purified recombinant fragment of human MCM2 expressed in E. Coli. |
Formulation | Purified antibody in PBS with 0.05% sodium azide. |
Application |
|
---|---|
WB | 1/500 - 1/2000 |
IHC | 1/200 - 1/1000 |
FCM | 1/200 - 1/400 |
ELISA | 1/10000 |
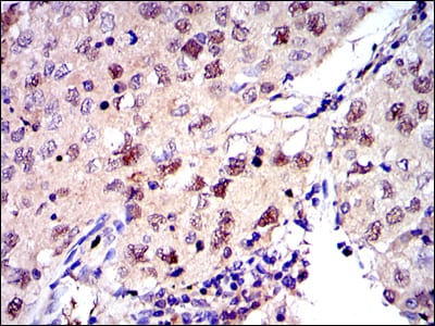
Product Image
- Red: Control Antigen (100ng); Purple: Antigen (10ng); Green: Antigen (50ng); Blue: Antigen (100ng);
- Western blot analysis using MCM2 mouse mAb against PC-12 (1), Cos7 (2), NIH/3T3 (3), HepG2 (4), HEK293 (5), K562 (6), Jurkat (7), Hela (8) and MCF-7 (9) cell lysate.
- Flow cytometric analysis of Hela cells using MCM2 mouse mAb (blue) and negative control (red).
- Immunohistochemical analysis of paraffin-embedded human colon cancer tissues using MCM2 mouse mAb with DAB staining.
- Immunohistochemical analysis of paraffin-embedded human lung cancer tissues using MCM2 mouse mAb with DAB staining.
For Reseach Only
Application Key:WB - Western Blot | IHC - Immunohistochemistry | ICC - Immunocytochemistry | FCM - Flow Cytometry | ELISA - Enzyme-linked Immunosorbent Assay | IP - Immunoprecipitation
#30260

相关产品


