提醒成功
搜索
Rabbit Polyclonal Antibody to MAP2K5 (S149)
-
货号:
P30258 -
别名:
Dual specificity mitogen-activated protein kinase kinase 5, MAP kinase kinase 5, MAPKK 5, MAPK/ERK kinase 5, MEK 5, MAP2K5, MEK5, MKK5, PRKMK5 -
应用:
WB,IHC-P -
反应种属:
Human -
抗体类型:
Primary antibody -
Swissprot:
Q13163 -
规格:
-
数量:
-+ -
说明书:
目录价¥1980
Rabbit Polyclonal Antibody to MAP2K5 (S149)
Description |
|---|
MAP2K5 is a dual specificity protein kinase that belongs to the MAP kinase kinase family. It specifically interacts with and activates MAPK7/ERK5. This kinase itself can be phosphorylated and activated by MAP3K3/MEKK3, as well as by atypical protein kinase C isoforms (aPKCs). The signal cascade mediated by MAP2K5 is involved in growth factor stimulated cell proliferation and muscle cell differentiation. |
Specification |
|
|---|---|
| Aliases | Dual specificity mitogen-activated protein kinase kinase 5, MAP kinase kinase 5, MAPKK 5, MAPK/ERK kinase 5, MEK 5, MAP2K5, MEK5, MKK5, PRKMK5 |
| Entrez GeneID | 5607 |
| Swissprot | Q13163 |
| WB Predicted band size | 50.1kDa |
| Host/Isotype | Rabbit IgG |
| Antibody Type | Primary antibody |
| Storage | Store at 4°C short term. Aliquot and store at -20°C long term. Avoid freeze/thaw cycles. |
| Species Reactivity | Human |
| Immunogen | This MAP2K5 antibody is generated from rabbits immunized with a KLH conjugated synthetic peptide between 127-156 amino acids from human MAP2K5. |
| Formulation | Purified antibody in PBS with 0.05% sodium azide. |
Application |
|
|---|---|
| WB | 1/1000 |
| IHC | 1/100-1/500 |
Product Image
- Western blot analysis of MAP2K5 (arrow) using rabbit polyclonal MAP2K5 Antibody (S149) (Cat.#P30258).293 cell lysates (2 ug/lane) either nontransfected (Lane 1) or transiently transfected with the MAP2K5 gene (Lane 2) (Origene Technologies).
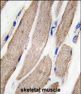
- Formalin-fixed and paraffin-embedded human skeletal muscle tissue reacted with MAP2K5 Antibody (S149) (Cat.#P30258), which was peroxidase-conjugated to the secondary antibody, followed by DAB staining. This data demonstrates the use of this antibody for immunohistochemistry; clinical relevance has not been evaluated.
For Reseach Only
Application Key:WB - Western Blot | IHC - Immunohistochemistry | ICC - Immunocytochemistry | FCM - Flow Cytometry | ELISA - Enzyme-linked Immunosorbent Assay | IP - Immunoprecipitation
#P30258
相关产品

微信/QQ登录


首页
