提醒成功
搜索
Rabbit Polyclonal Antibody to ECGF1
-
货号:
P30255 -
别名:
Thymidine phosphorylase, TP, Gliostatin, Platelet-derived endothelial cell growth factor, PD-ECGF, TdRPase, TYMP, ECGF1 -
应用:
WB,IHC-P -
反应种属:
Human -
抗体类型:
Primary antibody -
Swissprot:
P19971 -
规格:
-
数量:
-+ -
说明书:
目录价¥1980
Rabbit Polyclonal Antibody to ECGF1
Description |
|---|
ECGF1 is an angiogenic factor which promotes angiogenesis in vivo and stimulates the in vitro growth of a variety of endothelial cells. It has a highly restricted target cell specificity acting only on endothelial cells. Mutations in the gene encoding ECGF1 have been associated with mitochondrial neurogastrointestinal encephalomyopathy. |
Specification |
|
|---|---|
| Aliases | Thymidine phosphorylase, TP, Gliostatin, Platelet-derived endothelial cell growth factor, PD-ECGF, TdRPase, TYMP, ECGF1 |
| Entrez GeneID | 1890 |
| Swissprot | P19971 |
| WB Predicted band size | 50.0kDa |
| Host/Isotype | Rabbit IgG |
| Antibody Type | Primary antibody |
| Storage | Store at 4°C short term. Aliquot and store at -20°C long term. Avoid freeze/thaw cycles. |
| Species Reactivity | Human |
| Immunogen | This ECGF1 antibody is generated from rabbits immunized with a KLH conjugated synthetic peptide between 318-345 amino acids from the Central region of human ECGF1. |
| Formulation | Purified antibody in PBS with 0.05% sodium azide. |
Application |
|
|---|---|
| WB | 1/1000 |
| IHC | 1/100-1/500 |
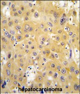
Product Image
- Western blot analysis of anti-ECGF1(Center) Pab (Cat.#P30255) in HepG2 cell line lysates (35ug/lane). ECGF1(arrow) was detected using the purified Pab.
- Formalin-fixed and paraffin-embedded human hepatocarcinoma tissue reacted with ECGF1 antibody (Center) (Cat.#P30255), which was peroxidase-conjugated to the secondary antibody, followed by DAB staining. This data demonstrates the use of this antibody for immunohistochemistry; clinical relevance has not been evaluated.
For Reseach Only
Application Key:WB - Western Blot | IHC - Immunohistochemistry | ICC - Immunocytochemistry | FCM - Flow Cytometry | ELISA - Enzyme-linked Immunosorbent Assay | IP - Immunoprecipitation
#P30255
相关产品

微信/QQ登录


首页
