提醒成功

搜索
Mouse Monoclonal Antibody to CRK
-
货号:
30256 -
别名:
CRKII -
应用:
IHC,IF,FCM -
反应种属:
Human -
抗体类型:
Primary antibody -
Swissprot:
P46108 -
规格:
-
数量:
-+ -
说明书:
目录价¥2180

Mouse Monoclonal Antibody to CRK
Description |
---|
This gene encodes a member of an adapter protein family that binds to several tyrosine-phosphorylated proteins. The product of this gene has several SH2 and SH3 domains (src-homology domains) and is involved in several signaling pathways, recruiting cytoplasmic proteins in the vicinity of tyrosine kinase through SH2-phosphotyrosine interaction. The N-terminal SH2 domain of this protein functions as a positive regulator of transformation whereas the C-terminal SH3 domain functions as a negative regulator of transformation. Two alternative transcripts encoding different isoforms with distinct biological activity have been described. |
References |
---|
1. Seikagaku. 2009 May;81(5):361-76. 2. Mol Cancer Res. 2009 Sep;7(9):1582-92. |
Specification |
|
---|---|
Aliases | CRKII |
Entrez GeneID | 1398 |
Swissprot | P46108 |
clone | 3G11C1 |
WB Predicted band size | 42kDa |
Host/Isotype | Mouse IgG2b |
Antibody Type | Primary antibody |
Storage | Store at 4°C short term. Aliquot and store at -20°C long term. Avoid freeze/thaw cycles. |
Species Reactivity | Human |
Immunogen | Purified recombinant fragment of human CRK expressed in E. Coli. |
Formulation | Ascitic fluid containing 0.03% sodium azide. |
Application |
|
---|---|
IHC | 1/200 - 1/1000 |
IF/ICC | 1/200 - 1/1000 |
FCM | 1/200 - 1/400 |
ELISA | 1/10000 |
Product Image
- Red: Control Antigen (100ng); Purple: Antigen (10ng); Green: Antigen (50ng); Blue: Antigen (100ng);
- Immunofluorescence analysis of 3T3-L1 cells using CRK mouse mAb (green). Blue: DRAQ5 fluorescent DNA dye. Red: Actin filaments have been labeled with Alexa Fluor-555 phalloidin.
- Flow cytometric analysis of MCF-7 cells using CRK mouse mAb (blue) and negative control (red).
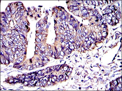
- Immunohistochemical analysis of paraffin-embedded human rectum cancer tissues using CRK mouse mAb with DAB staining.
- Immunohistochemical analysis of paraffin-embedded human bladder cancer tissues using CRK mouse mAb with DAB staining.
For Reseach Only
Application Key:WB - Western Blot | IHC - Immunohistochemistry | ICC - Immunocytochemistry | FCM - Flow Cytometry | ELISA - Enzyme-linked Immunosorbent Assay | IP - Immunoprecipitation
#30256

相关产品


