提醒成功

搜索
Rabbit Polyclonal Antibody to CDH7 (N-term)
-
货号:
P30247 -
别名:
Cadherin-7, CDH7, CDH7L1 -
应用:
WB,IHC-P,FCM -
反应种属:
Human -
抗体类型:
Primary antibody -
Swissprot:
Q9ULB5 -
规格:
-
数量:
-+ -
说明书:
目录价¥1980

Rabbit Polyclonal Antibody to CDH7 (N-term)
Description |
---|
CDH7 is a type II classical cadherin from the cadherin superfamily. This protein is a calcium dependent cell-cell adhesion glycoprotein comprised of five extracellular cadherin repeats, a transmembrane region and a highly conserved cytoplasmic tail. Type II (atypical) cadherins are defined based on their lack of a HAV cell adhesion recognition sequence specific to type I cadherins. Cadherins mediate cell-cell binding in a homophilic manner, contributing to the sorting of heterogeneous cell types and the maintenance of orderly structures. |
Specification |
|
---|---|
Aliases | Cadherin-7, CDH7, CDH7L1 |
Entrez GeneID | 1005 |
Swissprot | Q9ULB5 |
WB Predicted band size | 87.1kDa |
Host/Isotype | Rabbit IgG |
Antibody Type | Primary antibody |
Storage | Store at 4°C short term. Aliquot and store at -20°C long term. Avoid freeze/thaw cycles. |
Species Reactivity | Human |
Immunogen | This CDH7 antibody is generated from rabbits immunized with a KLH conjugated synthetic peptide between 56-84 amino acids from the N-terminal region of human CDH7. |
Formulation | Purified antibody in PBS with 0.05% sodium azide. |
Application |
|
---|---|
WB | 1/1000 |
IHC | 1/100-1/500 |
FCM | 1/10-1/50 |
Product Image
- Western blot analysis of anti-CDH7 Pab (Cat.#P30247) in K562 cell line lysates (35ug/lane). CDH7(arrow) was detected using the purified Pab.
- Flow cytometric analysis of NCI-H292 cells using Cadherin 7 (CDH7) Antibody (N-term)(bottom histogram) compared to a negative control cell (top histogram). FITC-conjugated goat-anti-rabbit secondary antibodies were used for the analysis.
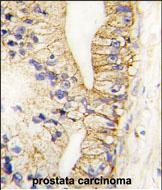
- Formalin-fixed and paraffin-embedded human prostata carcinoma tissue reacted with CDH7 antibody (N-term) (Cat.#P30247), which was peroxidase-conjugated to the secondary antibody, followed by DAB staining. This data demonstrates the use of this antibody for immunohistochemistry; clinical relevance has not been evaluated.
For Reseach Only
Application Key:WB - Western Blot | IHC - Immunohistochemistry | ICC - Immunocytochemistry | FCM - Flow Cytometry | ELISA - Enzyme-linked Immunosorbent Assay | IP - Immunoprecipitation
#P30247

相关产品


