提醒成功

搜索
Mouse Monoclonal Antibody to PINK1
-
货号:
P30246 -
别名:
Serine/threonine-protein kinase PINK1, mitochondrial, BRPK, PTEN-induced putative kinase protein 1, PINK1 -
应用:
WB,IHC-P -
反应种属:
Human, Mouse -
抗体类型:
Primary antibody -
Swissprot:
Q9BXM7 -
规格:
-
数量:
-+ -
说明书:
目录价¥2180

Mouse Monoclonal Antibody to PINK1
Description |
---|
This gene encodes a serine/threonine protein kinase that localizes to mitochondria. It is thought to protect cells from stress-induced mitochondrial dysfunction. Mutations in this gene cause one form of autosomal recessive early-onset Parkinson disease. |
Specification |
|
---|---|
Aliases | Serine/threonine-protein kinase PINK1, mitochondrial, BRPK, PTEN-induced putative kinase protein 1, PINK1 |
Entrez GeneID | 65018 |
Swissprot | Q9BXM7 |
WB Predicted band size | 62.8kDa |
Host/Isotype | Mouse IgG1 |
Antibody Type | Primary antibody |
Storage | Store at 4°C short term. Aliquot and store at -20°C long term. Avoid freeze/thaw cycles. |
Species Reactivity | Human, Mouse |
Immunogen | Recombinant PINK1 protein was used to produced this monoclonal antibody. |
Formulation | Purified antibody in PBS with 0.05% sodium azide. |
Application |
|
---|---|
WB | 1/500-1/2000 |
IHC | 1/100-1/500 |
Product Image
- Western blot analysis of anti-PINK1 Monoclonal Antibody (P30246) in mouse brain tissue lysates. PINK1(arrow) was detected using the ascites Mab. (dilution 1:500)
- Western blot analysis of PINK (arrow) using mouse monoclonal PINK antibody(Ascites). 293 cell lysates (2 μg/lane) either nontransfected (Lane 1) or transiently transfected with the PINK gene (Lane 2) (Origene Technologies) (1:2000)
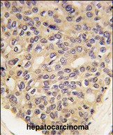
- Formalin-fixed and paraffin-embedded human hepatocarcinoma tissue reacted with PINK1 Monoclonal Antibody (Cat.#P30246), which was peroxidase-conjugated to the secondary antibody, followed by DAB staining. This data demonstrates the use of this antibody for immunohistochemistry; clinical relevance has not been evaluated.
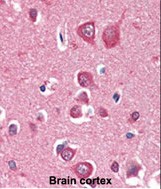
- Formalin-fixed and paraffin-embedded human Brain Cortex tissue reacted with PINK1 Monoclonal Antibody (Cat.#P30246), which was peroxidase-conjugated to the secondary antibody, followed by AEC staining. This data demonstrates the use of this antibody for immunohistochemistry; clinical relevance has not been evaluated.
For Reseach Only
Application Key:WB - Western Blot | IHC - Immunohistochemistry | ICC - Immunocytochemistry | FCM - Flow Cytometry | ELISA - Enzyme-linked Immunosorbent Assay | IP - Immunoprecipitation
#P30246

相关产品


