提醒成功
搜索
Rabbit Polyclonal Antibody to PSMA5 (N-term)
-
货号:
P30186 -
别名:
Proteasome subunit alpha type-5, Macropain zeta chain, Multicatalytic endopeptidase complex zeta chain, Proteasome zeta chain, PSMA5 -
应用:
WB,IHC-P -
反应种属:
Human -
抗体类型:
Primary antibody -
Swissprot:
P28066 -
规格:
-
数量:
-+ -
说明书:
目录价¥1980
Rabbit Polyclonal Antibody to PSMA5 (N-term)
Description |
|---|
The proteasome is a multicatalytic proteinase complex with a highly ordered ring-shaped 20S core structure. The core structure is composed of 4 rings of 28 non-identical subunits; 2 rings are composed of 7 alpha subunits and 2 rings are composed of 7 beta subunits. Proteasomes are distributed throughout eukaryotic cells at a high concentration and cleave peptides in an ATP/ubiquitin-dependent process in a non-lysosomal pathway. An essential function of a modified proteasome, the immunoproteasome, is the processing of class I MHC peptides. PMA5 is a member of the peptidase T1A family, that is a 20S core alpha subunit. |
Specification |
|
|---|---|
| Aliases | Proteasome subunit alpha type-5, Macropain zeta chain, Multicatalytic endopeptidase complex zeta chain, Proteasome zeta chain, PSMA5 |
| Entrez GeneID | 5686 |
| Swissprot | P28066 |
| WB Predicted band size | 26.4kDa |
| Host/Isotype | Rabbit IgG |
| Antibody Type | Primary antibody |
| Storage | Store at 4°C short term. Aliquot and store at -20°C long term. Avoid freeze/thaw cycles. |
| Species Reactivity | Human |
| Immunogen | This PSMA5 antibody is generated from rabbits immunized with a KLH conjugated synthetic peptide between 1-30 amino acids from the N-terminal region of human PSMA5. |
| Formulation | Purified antibody in PBS with 0.05% sodium azide. |
Application |
|
|---|---|
| WB | 1/1000 |
| IHC | 1/100-1/500 |
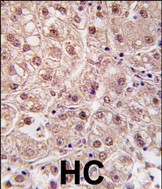
Product Image
- Western blot analysis of PSMA5 (arrow) using rabbit polyclonal PSMA5 Antibody (N-term) (Cat.#P30186). 293 cell lysates (2 ug/lane) either nontransfected (Lane 1) or transiently transfected with the PSMA5 gene (Lane 2) (Origene Technologies).
- Formalin-fixed and paraffin-embedded human hepatocarcinoma tissue reacted with PSMA5 antibody (N-term)(Cat.#P30186), which was peroxidase-conjugated to the secondary antibody, followed by DAB staining. This data demonstrates the use of this antibody for immunohistochemistry; clinical relevance has not been evaluated.
For Reseach Only
Application Key:WB - Western Blot | IHC - Immunohistochemistry | ICC - Immunocytochemistry | FCM - Flow Cytometry | ELISA - Enzyme-linked Immunosorbent Assay | IP - Immunoprecipitation
#P30186
相关产品

微信/QQ登录


首页
