提醒成功

搜索
Rabbit Polyclonal Antibody to TASP1
-
货号:
P30178 -
别名:
Threonine aspartase 1, Taspase-1, 3425-, Threonine aspartase subunit alpha, Threonine aspartase subunit beta, TASP1, C20orf13 -
应用:
WB,IHC-P -
反应种属:
Human, Mouse -
抗体类型:
Primary antibody -
Swissprot:
Q9H6P5 -
规格:
-
数量:
-+ -
说明书:
目录价¥1980

Rabbit Polyclonal Antibody to TASP1
Description |
---|
TASP1 is an endopeptidase that cleaves specific substrates following aspartate residues. The encoded protein undergoes posttranslational autoproteolytic processing to generate alpha and beta subunits, which reassemble into the active alpha2-beta2 heterotetramer. It is required to cleave MLL, a protein required for the maintenance of HOX gene expression, and TFIIA, a basal transcription factor. |
Specification |
|
---|---|
Aliases | Threonine aspartase 1, Taspase-1, 3425-, Threonine aspartase subunit alpha, Threonine aspartase subunit beta, TASP1, C20orf13 |
Entrez GeneID | 55617 |
Swissprot | Q9H6P5 |
WB Predicted band size | 44.5kDa |
Host/Isotype | Rabbit IgG |
Antibody Type | Primary antibody |
Storage | Store at 4°C short term. Aliquot and store at -20°C long term. Avoid freeze/thaw cycles. |
Species Reactivity | Human, Mouse |
Immunogen | This TASP1 antibody is generated from rabbits immunized with a KLH conjugated synthetic peptide between 364-395 amino acids from the C-terminal region of human TASP1. |
Formulation | Purified antibody in PBS with 0.05% sodium azide. |
Application |
|
---|---|
WB | 1/1000 |
IHC | 1/100-1/500 |
Product Image
- Western blot analysis of TASP1 C-term polyclonal antibody (Cat.# P30178) in mouse kidney tissue lysates. TASP1 (arrow) was detected using the purified Pab .
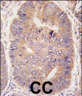
- Formalin-fixed and paraffin-embedded human colon carcinoma tissue reacted with hTASP1-C-term (Cat.#P30178), which was peroxidase-conjugated to the secondary antibody, followed by DAB staining. This data demonstrates the use of this antibody for immunohistochemistry; clinical relevance has not been evaluated.
For Reseach Only
Application Key:WB - Western Blot | IHC - Immunohistochemistry | ICC - Immunocytochemistry | FCM - Flow Cytometry | ELISA - Enzyme-linked Immunosorbent Assay | IP - Immunoprecipitation
#P30178

相关产品


