提醒成功
搜索
Rabbit Polyclonal Antibody to Glycerol kinase (GPK2)
-
货号:
P30157 -
别名:
Glycerol kinase 2, GK 2, Glycerokinase 2, ATP:glycerol 3-phosphotransferase 2, Glycerol kinase, testis specific 2, GK2, GKP2, GKTA -
应用:
WB,IHC-P -
反应种属:
Human, Mouse -
抗体类型:
Primary antibody -
Swissprot:
Q14410 -
规格:
-
数量:
-+ -
说明书:
目录价¥1980
Rabbit Polyclonal Antibody to Glycerol kinase (GPK2)
Description |
|---|
The human glycerol kinase gene family consists of at least 3 expressed loci. The GK1 locus on Xp21.3 is the site of mutations (deletions) causing glycerol kinase deficiency. It comprises 19 exons and is probably ancestral to several other genes which, because they are intronless, are suspected of having arisen by reverse transcriptase mediated events. These include 2 genes on chromosome 4. They are expressed as a single mRNA species in testis where expression is at a high level. |
Specification |
|
|---|---|
| Aliases | Glycerol kinase 2, GK 2, Glycerokinase 2, ATP:glycerol 3-phosphotransferase 2, Glycerol kinase, testis specific 2, GK2, GKP2, GKTA |
| Entrez GeneID | 2712 |
| Swissprot | Q14410 |
| WB Predicted band size | 60.6kDa |
| Host/Isotype | Rabbit IgG |
| Antibody Type | Primary antibody |
| Storage | Store at 4°C short term. Aliquot and store at -20°C long term. Avoid freeze/thaw cycles. |
| Species Reactivity | Human, Mouse |
| Immunogen | This Glycerol kinase (GPK2) antibody is generated from rabbits immunized with a KLH conjugated synthetic peptide between 487-515 amino acids from the C-terminal region of human Glycerol kinase (GPK2). |
| Formulation | Purified antibody in PBS with 0.05% sodium azide. |
Application |
|
|---|---|
| WB | 1/1000 |
| IHC | 1/100-1/500 |
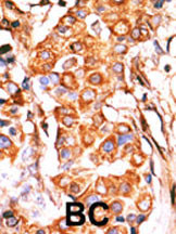
Product Image
- The anti-GKP2 Pab (Cat. #P30157) is used in Western blot to detect GKP2 in Jurkat tissue lysate
- Formalin-fixed and paraffin-embedded human cancer tissue reacted with the primary antibody, which was peroxidase-conjugated to the secondary antibody, followed by AEC staining. This data demonstrates the use of this antibody for immunohistochemistry; clinical relevance has not been evaluated. BC = breast carcinoma; HC = hepatocarcinoma.
For Reseach Only
Application Key:WB - Western Blot | IHC - Immunohistochemistry | ICC - Immunocytochemistry | FCM - Flow Cytometry | ELISA - Enzyme-linked Immunosorbent Assay | IP - Immunoprecipitation
#P30157
相关产品

微信/QQ登录


首页
