提醒成功

搜索
Rabbit Polyclonal Antibody to NCS1
-
货号:
P30055 -
别名:
Neuronal calcium sensor 1, NCS-1, Frequenin homolog, Frequenin-like protein, Frequenin-like ubiquitous protein, NCS1, FLUP, FREQ -
应用:
WB,IHC-P,FCM -
反应种属:
Human -
抗体类型:
Primary antibody -
Swissprot:
P62166 -
规格:
-
数量:
-+ -
说明书:
目录价¥1980

Rabbit Polyclonal Antibody to NCS1
Description |
---|
NCS1 is a member of the neuronal calcium sensor gene family, which encode calcium-binding proteins expressed predominantly in neurons. NCS1 regulates G protein-coupled receptor phosphorylation in a calcium-dependent manner and can substitute for calmodulin. This protein is thought to be associated with secretory granules and may be involved in the regulation of neurosecretion. |
Specification |
|
---|---|
Aliases | Neuronal calcium sensor 1, NCS-1, Frequenin homolog, Frequenin-like protein, Frequenin-like ubiquitous protein, NCS1, FLUP, FREQ |
Entrez GeneID | 23413 |
Swissprot | P62166 |
WB Predicted band size | 21.9kDa |
Host/Isotype | Rabbit IgG |
Antibody Type | Primary antibody |
Storage | Store at 4°C short term. Aliquot and store at -20°C long term. Avoid freeze/thaw cycles. |
Species Reactivity | Human |
Immunogen | This NCS1 antibody is generated from rabbits immunized with a KLH conjugated synthetic peptide between 118-144 amino acids from the Central region of human NCS1. |
Formulation | Purified antibody in PBS with 0.05% sodium azide. |
Application |
|
---|---|
WB | 1/1000 |
IHC | 1/100-1/500 |
FCM | 1/10-1/50 |
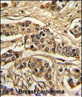
Product Image
- Western blot analysis of NCS1 Antibody (Center) (Cat.# P30055) in MCF-7 cell line lysates (35ug/lane). NCS1 (arrow) was detected using the purified Pab.
- Flow cytometric analysis of ZR-75-1 cells using NCS1 Antibody (Center)(bottom histogram) compared to a negative control cell (top histogram). FITC-conjugated goat-anti-rabbit secondary antibodies were used for the analysis.
- Formalin-fixed and paraffin-embedded human breast carcinoma reacted with NCS1 Antibody (Center), which was peroxidase-conjugated to the secondary antibody, followed by DAB staining. This data demonstrates the use of this antibody for immunohistochemistry; clinical relevance has not been evaluated.
For Reseach Only
Application Key:WB - Western Blot | IHC - Immunohistochemistry | ICC - Immunocytochemistry | FCM - Flow Cytometry | ELISA - Enzyme-linked Immunosorbent Assay | IP - Immunoprecipitation
#P30055

相关产品


