提醒成功

搜索
Rabbit Polyclonal Antibody to DDR1 (N-term)
-
货号:
P30023 -
别名:
Epithelial discoidin domain-containing receptor 1, Epithelial discoidin domain receptor 1, CD167 antigen-like family member A, Cell adhesion kinase, Discoidin receptor tyrosine kinase, HGK2, Mammary carcinoma kinase 10, MCK-10, Protein-tyrosine kinase 3A, Protein-tyrosine kinase RTK-6, TRK E, Tyrosine kinase DDR, Tyrosine-protein kinase CAK, CD167a, DDR1, CAK, EDDR1, NEP, NTRK4, PTK3A, RTK6, TRKE -
应用:
WB,IHC-P -
反应种属:
Human, Mouse, Rat -
抗体类型:
Primary antibody -
Swissprot:
Q08345 -
规格:
-
数量:
-+ -
说明书:
目录价¥1980

Rabbit Polyclonal Antibody to DDR1 (N-term)
Description |
---|
Receptor tyrosine kinases (RTKs) play a key role in the communication of cells with their microenvironment. These molecules are involved in the regulation of cell growth, differentiation and metabolism. MCK10 is a RTK that is widely expressed in normal and transformed epithelial cells and is activated by various types of collagen. This protein belongs to a subfamily of tyrosine kinase receptors with a homology region to the Dictyostelium discoideum protein discoidin I in their extracellular domain. Its autophosphorylation is achieved by all collagens so far tested (type I to type VI). In situ studies and Northern-blot analysis showed that expression of this encoded protein is restricted to epithelial cells, particularly in the kidney, lung, gastrointestinal tract, and brain. In addition, this protein is significantly over-expressed in several human tumors from breast, ovarian, esophageal, and pediatric brain. The gene is located on chromosome 6p21.3 in proximity to several HLA class I genes. |
Specification |
|
---|---|
Aliases | Epithelial discoidin domain-containing receptor 1, Epithelial discoidin domain receptor 1, CD167 antigen-like family member A, Cell adhesion kinase, Discoidin receptor tyrosine kinase, HGK2, Mammary carcinoma kinase 10, MCK-10, Protein-tyrosine kinase 3A, Protein-tyrosine kinase RTK-6, TRK E, Tyrosine kinase DDR, Tyrosine-protein kinase CAK, CD167a, DDR1, CAK, EDDR1, NEP, NTRK4, PTK3A, RTK6, TRKE |
Entrez GeneID | 780 |
Swissprot | Q08345 |
WB Predicted band size | 101.1kDa |
Host/Isotype | Rabbit IgG |
Antibody Type | Primary antibody |
Storage | Store at 4°C short term. Aliquot and store at -20°C long term. Avoid freeze/thaw cycles. |
Species Reactivity | Human, Mouse, Rat |
Immunogen | This DDR1 antibody is generated from rabbits immunized with a KLH conjugated synthetic peptide between 17-47 amino acids from the N-terminal region of human DDR1. |
Formulation | Purified antibody in PBS with 0.05% sodium azide,1%BSA and 50% glycerol.prepared by Saturated Ammonium Sulfate (SAS) . |
Application |
|
---|---|
WB | 1/1000 |
IHC | 1/100-1/500 |
Product Image
- Western blot analysis of anti-DDR1 Antibody (N-term) Pab (Cat. #P30023) in placenta lysate. DDR1 (arrow) was detected using purified Pab. Secondary HRP-anti-rabbit was used for signal visualization with chemiluminescence.
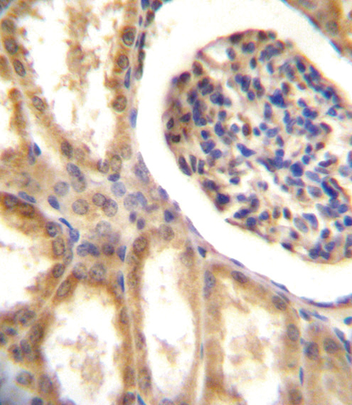
- DDR1 Antibody (N-term) (Cat. #P30023)immunohistochemistry analysis in formalin fixed and paraffin embedded human kidney tissue followed by peroxidase conjugation of the secondary antibody and DAB staining.This data demonstrates the use of DDR1 Antibody (N-term) for immunohistochemistry. Clinical relevance has not been evaluated.
For Reseach Only
Application Key:WB - Western Blot | IHC - Immunohistochemistry | ICC - Immunocytochemistry | FCM - Flow Cytometry | ELISA - Enzyme-linked Immunosorbent Assay | IP - Immunoprecipitation
#P30023

相关产品


