提醒成功

搜索
Mouse Monoclonal Antibody to ERN1
-
货号:
30026 -
别名:
IRE1; IRE1P; IRE1a; hIRE1p; FLJ30999; MGC163277; MGC163279; ERN1 -
应用:
WB,IHC -
反应种属:
Human -
抗体类型:
Primary antibody -
Swissprot:
O75460 -
规格:
-
数量:
-+ -
说明书:
目录价¥2180

Mouse Monoclonal Antibody to ERN1
Description |
---|
The protein encoded by this gene is the ER to nucleus signalling 1 protein, a human homologue of the yeast Ire1 gene product. This protein possesses intrinsic kinase activity and an endoribonuclease activity and it is important in altering gene expression as a response to endoplasmic reticulum-based stress signals. |
References |
---|
1. Biochem Biophys Res Commun. 2004 Apr 30;317(2):390-6. 2. Mol Cell Biol. 2005 Sep;25(17):7522-33. 3. Science. 2007 Nov 9;318(5852):944-9. |
Specification |
|
---|---|
Aliases | IRE1; IRE1P; IRE1a; hIRE1p; FLJ30999; MGC163277; MGC163279; ERN1 |
Entrez GeneID | 2081 |
Swissprot | O75460 |
clone | 9F2 |
WB Predicted band size | 109kDa |
Host/Isotype | Mouse IgG1 |
Antibody Type | Primary antibody |
Storage | Store at 4°C short term. Aliquot and store at -20°C long term. Avoid freeze/thaw cycles. |
Species Reactivity | Human |
Immunogen | Purified recombinant fragment of human ERN1(aa282-433) expressed in E. Coli. |
Formulation | Purified antibody in PBS with 0.05% sodium azide. |
Application |
|
---|---|
WB | 1/500 - 1/2000 |
IHC | 1/200 - 1/1000 |
ELISA | 1/10000 |
Product Image
- Western blot analysis using ERN1 mouse mAb against Raji (1), A431 (2), Jurkat (3), Hela(4) and HEK293 (5) cell lysate.
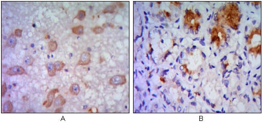
- Immunohistochemical analysis of paraffin-embedded human brain tissue (A) and stomach tissue (B), showing cytoplasmic localization using ERN1 mouse mAb with DAB staining.
- Immunohistochemical analysis of paraffin-embedded human Placenta tissues using ERN1 mouse mAb
For Reseach Only
Application Key:WB - Western Blot | IHC - Immunohistochemistry | ICC - Immunocytochemistry | FCM - Flow Cytometry | ELISA - Enzyme-linked Immunosorbent Assay | IP - Immunoprecipitation
#30026

相关产品


