提醒成功

搜索
Rabbit Polyclonal Antibody to ILK1/ILK2 (N-term)
-
货号:
P30022 -
别名:
Integrin-linked protein kinase, Ilk -
应用:
WB,IHC-P -
反应种属:
Human, Mouse, Rat -
抗体类型:
Primary antibody -
Swissprot:
O55222 -
规格:
-
数量:
-+ -
说明书:
目录价¥1980

Rabbit Polyclonal Antibody to ILK1/ILK2 (N-term)
Description |
---|
Transduction of extracellular matrix signals through integrins influences intracellular and extracellular functions, and appears to require interaction of integrin cytoplasmic domains with cellular proteins. Integrin-linked kinase (ILK), interacts with the cytoplasmic domain of beta-1 integrin. ILK encodes a predicted 451-amino acid protein, with an apparent molecular weight of 59 kD. The ILK protein is a serine/threonine protein kinase with 4 ankyrin-like repeats. ILK regulates integrin-mediated signal transduction. |
Specification |
|
---|---|
Aliases | Integrin-linked protein kinase, Ilk |
Entrez GeneID | 16202 |
Swissprot | O55222 |
WB Predicted band size | 51.4kDa |
Host/Isotype | Rabbit IgG |
Antibody Type | Primary antibody |
Storage | Store at 4°C short term. Aliquot and store at -20°C long term. Avoid freeze/thaw cycles. |
Species Reactivity | Human, Mouse, Rat |
Immunogen | This ILK1/ILK2 antibody is generated from rabbits immunized with a KLH conjugated synthetic peptide between 11-41 amino acids from the N-terminal region of mouse ILK1/ILK2. |
Formulation | Purified antibody in PBS with 0.05% sodium azide,1%BSA and 50% glycerol.prepared by Saturated Ammonium Sulfate (SAS) . |
Application |
|
---|---|
WB | 1/1000 |
IHC | 1/100-1/500 |
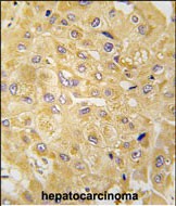
Product Image
- Western blot analysis of anti-ILK1 Pab (Cat. #P30022) in HL60 cell lysate. ILK1 (Arrow) was detected using purified Pab. Secondary HRP-anti-rabbit was used for signal visualization with chemiluminescence.
- Formalin-fixed and paraffin-embedded human cancer tissue reacted with the primary antibody, which was peroxidase-conjugated to the secondary antibody, followed by AEC staining. This data demonstrates the use of this antibody for immunohistochemistry; clinical relevance has not been evaluated. BC = breast carcinoma; HC = hepatocarcinoma.
- Formalin-fixed and paraffin-embedded human hepatocarcinoma tissue reacted with ILK1/ILK2 Antibody (N-term) (Cat.#P30022), which was peroxidase-conjugated to the secondary antibody, followed by DAB staining. This data demonstrates the use of this antibody for immunohistochemistry; clinical relevance has not been evaluated.
For Reseach Only
Application Key:WB - Western Blot | IHC - Immunohistochemistry | ICC - Immunocytochemistry | FCM - Flow Cytometry | ELISA - Enzyme-linked Immunosorbent Assay | IP - Immunoprecipitation
#P30022

相关产品


