提醒成功

搜索
Mouse Monoclonal Antibody to PCNA
-
货号:
30453A -
别名:
-
应用:
WB,IHC,FCM -
反应种属:
Human,Mouse,Rat,Rabbit,Monkey -
抗体类型:
Primary antibody -
Swissprot:
P12004 -
规格:
-
数量:
-+ -
说明书:
目录价¥2180

Mouse Monoclonal Antibody to PCNA
Description |
---|
The protein encoded by this gene is found in the nucleus and is a cofactor of DNA polymerase delta. The encoded protein acts as a homotrimer and helps increase the processivity of leading strand synthesis during DNA replication. In response to DNA damage, this protein is ubiquitinated and is involved in the RAD6-dependent DNA repair pathway. Two transcript variants encoding the same protein have been found for this gene. Pseudogenes of this gene have been described on chromosome 4 and on the X chromosome. |
References |
---|
1.Cancer Res. 2012 Jul 1;72(13):3217-27. 2.PLoS One. 2012;7(1):e29416. |
Specification |
|
---|---|
Entrez GeneID | 5111 |
Swissprot | P12004 |
clone | 7H4F8 |
WB Predicted band size | 28.7kDa |
Host/Isotype | Mouse IgG1 |
Antibody Type | Primary antibody |
Storage | Store at 4°C short term. Aliquot and store at -20°C long term. Avoid freeze/thaw cycles. |
Species Reactivity | Human,Mouse,Rat,Rabbit,Monkey |
Immunogen | Purified recombinant fragment of human PCNA (AA: 53-196 ) expressed in E. Coli. |
Formulation | Ascitic fluid containing 0.03% sodium azide. |
Application |
|
---|---|
WB | 1/500 - 1/2000 |
IHC | 1/100 - 1/500 |
FCM | 1/200 - 1/400 |
ELISA | 1/10000 |
Product Image
- Black line: Control Antigen (100 ng); Purple line: Antigen(10ng); Blue line: Antigen (50 ng); Red line: Antigen (100 ng);
- Western blot analysis using PCNA mouse mAb against A431 (1), HEK293 (2), HeLa (3), HepG2 (4), Raji (5), MOLT4 (6), COS7 (7), and MCF-7 (8) cell lysate.
- Western blot analysis using PCNA mouse mAb against Raw264.7(1)NIH/3T3(2)NRK(3)C2C12(4)C6(5)L1210(6)F9(7)CHO3D10(8) cell lysate.
- Flow cytometric analysis of MOLT4 cells using PCNA mouse mAb (green) and negative control (purple).
- Flow cytometric analysis of Hela cells using PCNA mouse mAb (green) and negative control (red).
- Flow cytometric analysis of NIH/3T3 cells using PCNA mouse mAb (green) and negative control (red).
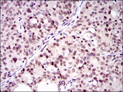
- Immunohistochemical analysis of paraffin-embedded human cervical cancer tissues using PCNA mouse mAb with DAB staining.
- Immunohistochemical analysis of paraffin-embedded human colon cancer tissues using PCNA mouse mAb with DAB staining.
- Immunohistochemical analysis of paraffin-embedded Mouse colon(A) Mouse testis(B) using PCNA mouse mAb with DAB staining.
- Immunohistochemical analysis of paraffin-embedded Rat testis using PCNA mouse mAb with DAB staining.
- Immunohistochemical analysis of paraffin-embedded Rabbit testis(A) Rabbit kidney (B)using PCNA mouse mAb with DAB staining.
For Reseach Only
Application Key:WB - Western Blot | IHC - Immunohistochemistry | ICC - Immunocytochemistry | FCM - Flow Cytometry | ELISA - Enzyme-linked Immunosorbent Assay | IP - Immunoprecipitation
#30453A

相关产品


