提醒成功

搜索
Mouse Monoclonal Antibody to CSNK2A2
-
货号:
30405 -
别名:
CK2A2; CSNK2A1; FLJ43934 -
应用:
WB,IHC,FCM -
反应种属:
Human,Mouse,Rat,Monkey,Rabbit -
抗体类型:
Primary antibody -
Swissprot:
P19784 -
规格:
-
数量:
-+ -
说明书:
目录价¥2180

Mouse Monoclonal Antibody to CSNK2A2
Description |
---|
Casein kinase II (CK2) is a constitutively active, ubiquitously expressed serine/threonine protein kinase that is thought to have a regulatory function in cell proliferation, cell differentiation and apoptosis. CK2 functions as a tetrameric complex consisting of two regulatory beta-subunits and two catalytic units (alpha and alpha') in a homomeric or heteromeric conformation. Whilst the alpha- and alpha'-subunits are catalytically identical, proteins that regulate CK2, such as cdc2 and Hsp90, preferentially bind to the alpha and not the alpha'-subunit. CK2 can phosphorylate a number of key intracellular signaling proteins implicated in tumor suppression (p53 and PTEN) and tumorigenesis (myc, jun, NF-kappaB). CK2 is also thought to influence Wnt signaling via beta-catenin phosphorylation and the PI 3-K signaling pathway via the phosphorylation of Akt. |
References |
---|
1.Eur J Immunol. 2009 Jan;39(1):267-79. 2.Cell Mol Life Sci. 2009 Jan;66(2):339-49. |
Specification |
|
---|---|
Aliases | CK2A2; CSNK2A1; FLJ43934 |
Entrez GeneID | 1459 |
Swissprot | P19784 |
clone | 1E1 |
WB Predicted band size | 41.2kDa |
Host/Isotype | Mouse IgG1 |
Antibody Type | Primary antibody |
Storage | Store at 4°C short term. Aliquot and store at -20°C long term. Avoid freeze/thaw cycles. |
Species Reactivity | Human,Mouse,Rat,Monkey,Rabbit |
Immunogen | Purified recombinant fragment of human CSNK2A2 (AA: 194-350) expressed in E. Coli. |
Formulation | Purified antibody in PBS with 0.05% sodium azide. |
Application |
|
---|---|
WB | 1/500 - 1/2000 |
IHC | 1/100 - 1/500 |
FCM | 1/200 - 1/400 |
ELISA | 1/10000 |
Product Image
- Black line: Control Antigen (100 ng); Purple line: Antigen(10ng); Blue line: Antigen (50 ng); Red line: Antigen (100 ng);
- Western blot analysis using CSNK2A2 mouse mAb against HeLa (1), MCF-7 (2), HepG2 (3), Jurkat (4), NIH3T3 (5), and PC-12 (6) cell lysate.
- Western blot analysis using CSNK2A2 mouse mAb against mouse liver(1)PC-12(2)Raw264.7(3)NIH/3T3(4)NRK(5)C2C12(6)C6(7)L1210(8)F9(9)COS-7(10)CHO3D10(11) cell lysate.
- Flow cytometric analysis of HepG2 cells using CSNK2A2 mouse mAb (green) and negative control (red).
- Flow cytometric analysis of COS7 cells using CSNK2A2 mouse mAb (green) and negative control (red).
- Immunohistochemical analysis of paraffin-embedded Mouse kidney(A)Mouse kidney(B)Mouse cerebellum(C) using CSNK2A2 mouse mAb with DAB staining.
- Immunohistochemical analysis of paraffin-embedded Rat kidney(A)Rat kidney(B)Rat brain(C) using CSNK2A2 mouse mAb with DAB staining.
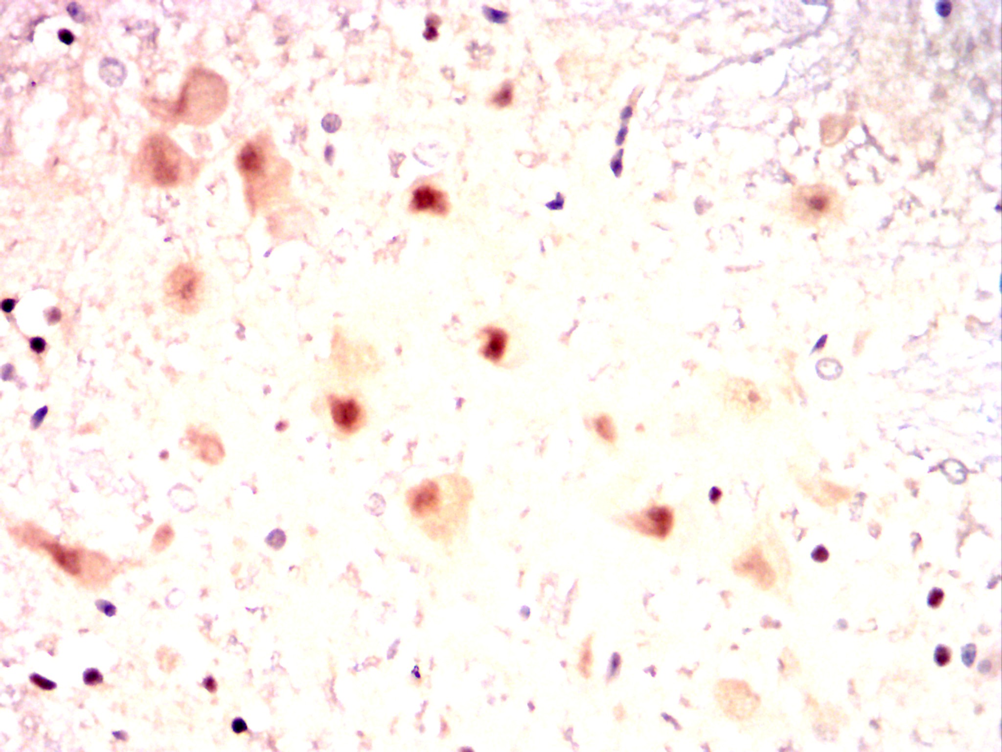
- Immunohistochemical analysis of paraffin-embedded Rabbit spinal cord using CSNK2A2 mouse mAb with DAB staining.
For Reseach Only
Application Key:WB - Western Blot | IHC - Immunohistochemistry | ICC - Immunocytochemistry | FCM - Flow Cytometry | ELISA - Enzyme-linked Immunosorbent Assay | IP - Immunoprecipitation
#30405

相关产品


