提醒成功

搜索
Mouse Monoclonal Antibody to PTPN11
-
货号:
30409 -
别名:
CFC; NS1; SHP2; BPTP3; PTP2C; PTP-1D; SH-PTP2; SH-PTP3; MGC14433 -
应用:
IHC,IF,FCM -
反应种属:
Human -
抗体类型:
Primary antibody -
Swissprot:
Q06124 -
规格:
-
数量:
-+ -
说明书:
目录价¥2180

Mouse Monoclonal Antibody to PTPN11
Description |
---|
The protein encoded by this gene is a member of the protein tyrosine phosphatase (PTP) family. PTPs are known to be signaling molecules that regulate a variety of cellular processes including cell growth, differentiation, mitotic cycle, and oncogenic transformation. This PTP contains two tandem Src homology-2 domains, which function as phospho-tyrosine binding domains and mediate the interaction of this PTP with its substrates. This PTP is widely expressed in most tissues and plays a regulatory role in various cell signaling events that are important for a diversity of cell functions, such as mitogenic activation, metabolic control, transcription regulation, and cell migration. Mutations in this gene are a cause of Noonan syndrome as well as acute myeloid leukemia. Two transcript variants encoding different isoforms have been found for this gene. |
References |
---|
1.Blood. 2011 Aug 11;118(6):1504-15. 2.Cancer Cell. 2011 May 17;19(5):629-39. |
Specification |
|
---|---|
Aliases | CFC; NS1; SHP2; BPTP3; PTP2C; PTP-1D; SH-PTP2; SH-PTP3; MGC14433 |
Entrez GeneID | 5781 |
Swissprot | Q06124 |
clone | 6D9 |
WB Predicted band size | 68.4kDa |
Host/Isotype | Mouse IgG1 |
Antibody Type | Primary antibody |
Storage | Store at 4°C short term. Aliquot and store at -20°C long term. Avoid freeze/thaw cycles. |
Species Reactivity | Human |
Immunogen | Purified recombinant fragment of human PTPN11 (AA: 263-329) expressed in E. Coli. |
Formulation | Purified antibody in PBS with 0.05% sodium azide |
Application |
|
---|---|
IHC | 1/200 - 1/1000 |
IF/ICC | 1/200 - 1/1000 |
FCM | 1/200 - 1/400 |
ELISA | 1/10000 |
Product Image
- Black line: Control Antigen (100 ng); Purple line: Antigen(10ng); Blue line: Antigen (50 ng); Red line: Antigen (100 ng);
- Immunofluorescence analysis of HeLa cells using PTPN11 mouse mAb (green). Blue: DRAQ5 fluorescent DNA dye.
- Flow cytometric analysis of HepG2 cells using PTPN11 mouse mAb (green) and negative control (red).
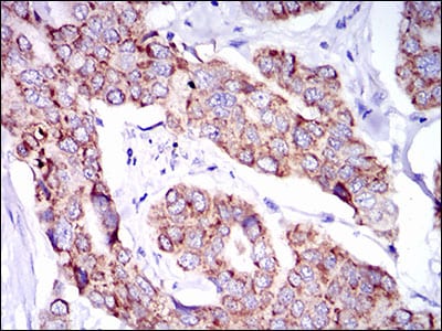
- Immunohistochemical analysis of paraffin-embedded human breast cancer tissues using PTPN11 mouse mAb with DAB staining.
- Immunohistochemical analysis of paraffin-embedded human rectum cancer tissues using PTPN11 mouse mAb with DAB staining.
For Reseach Only
Application Key:WB - Western Blot | IHC - Immunohistochemistry | ICC - Immunocytochemistry | FCM - Flow Cytometry | ELISA - Enzyme-linked Immunosorbent Assay | IP - Immunoprecipitation
#30409

相关产品


