提醒成功

搜索
Mouse Monoclonal Antibody to ST13
-
货号:
20419z -
别名:
HIP; HOP; P48; AAG2; SNC6; HSPABP; FAM10A1; FAM10A4; HSPABP1; ST13 -
应用:
WB,IHC,ICC -
反应种属:
Human,Monkey -
抗体类型:
Primary antibody -
Swissprot:
P50502 -
规格:
-
数量:
-+ -
说明书:
目录价¥2180

Mouse Monoclonal Antibody to ST13
Description |
---|
ST13 (suppression of tumorigenicity protein 13), also known as Hip (HSP70-interacting protein), is one of several co-chaperones that regulate activities of the HSP70 chaperone family. The homo-oligomeric protein Hip cooperates with HSP70 in protein folding by stabilizing the ADP-bound state of HSP70. Hip directly binds to the ATPase domain of HSP70 when it is converted to the ADP-bound state by proteins of the HSP40 family. By collaborating with other positive co-factors such as HSP40 and Hop, or competing with negative co-factors such as Bag1, Hip may facilitate the chaperone function of HSP70 in protein folding and repair, and in controlling the activity of regulatory proteins such as steroid receptors and various regulators of proliferation or apoptosis. |
References |
---|
1. J Biol Chem. 2002 Jan 4;277(1):259-66. 2. Electrophoresis. 2004 May;25(9):1289-98. |
Specification |
|
---|---|
Aliases | HIP; HOP; P48; AAG2; SNC6; HSPABP; FAM10A1; FAM10A4; HSPABP1; ST13 |
Entrez GeneID | 6767 |
Swissprot | P50502 |
clone | 3B10 |
WB Predicted band size | 48kDa |
Host/Isotype | Mouse IgG1 |
Antibody Type | Primary antibody |
Storage | Store at 4°C short term. Aliquot and store at -20°C long term. Avoid freeze/thaw cycles. |
Species Reactivity | Human,Monkey |
Immunogen | Purified recombinant fragment of human ST13 expressed in E. Coli. |
Formulation | Ascitic fluid containing 0.03% sodium azide. |
Application |
|
---|---|
WB | 1/500 - 1/2000 |
IHC | 1/200 - 1/1000 |
IF/ICC | 1/200 - 1/1000 |
ELISA | 1/10000 |
Product Image
- Western blot analysis using ST13 mouse mAb against A431 (1), HEK293 (2), Hela (3), HepG2 (4), Jurkat (5), K562 (6), L121O (7) and MCF-7 (8) cell lysate.
- Immunofluorescence analysis of NIH/3T3 cells using ST13 mouse mAb (green). Blue: DRAQ5 fluorescent DNA dye.
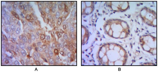
- Immunohistochemical analysis of paraffin-embedded human lung cancer (A), colon cancer (B) using ST13 mouse mAb with DAB staining.
- Immunohistochemical analysis of paraffin-embedded human Thyroid tissues using ST13 mouse mAb
For Reseach Only
Application Key:WB - Western Blot | IHC - Immunohistochemistry | ICC - Immunocytochemistry | FCM - Flow Cytometry | ELISA - Enzyme-linked Immunosorbent Assay | IP - Immunoprecipitation
#20419z

相关产品


