提醒成功

Mouse Monoclonal Antibody to FABP2
-
货号:
20416 -
别名:
FABPI; I-FABP; MGC133132; FABP2 -
应用:
WB,IHC,IF,FCM -
反应种属:
Human -
抗体类型:
Primary antibody -
Swissprot:
P12104 -
规格:
-
数量:
-+ -
说明书:
目录价¥2180

Mouse Monoclonal Antibody to FABP2
Description |
---|
The intracellular fatty acid-binding proteins (FABPs) belong to a multigene family with nearly twenty identified members. FABPs are divided into at least three distinct types, namely the hepatic-, intestinal- and cardiac-type. They form 14-15 kDa proteins and are thought to participate in the uptake, intracellular metabolism and/or transport of long-chain fatty acids. They may also be responsible in the modulation of cell growth and proliferation. Intestinal fatty acid-binding protein 2 gene contains four exons and is an abundant cytosolic protein in small intestine epithelial cells. This gene has a polymorphism at codon 54 that identified an alanine-encoding allele and a threonine-encoding allele. Thr-54 protein is associated with increased fat oxidation and insulin resistance. Genetic variation in FABP2 may thus contribute to interindividual variation in the response of plasma lipoproteins to different dietary fibres, but the mechanism does not appear to be related to increases in fecal bile acid secretion. |
References |
---|
1. Yamada, K. et al. (1997) Diabetologia. 40(6):706-10 2. Georgopoulos, A. et al. (2000)85(9):3155-60 3. Kim, CH. et al. (2001) Metabolism. 50(4):473-6 4. Fisher, E. et al. (2006) Horm Metab Res. 38(5):341-5 |
Specification |
|
---|---|
Aliases | FABPI; I-FABP; MGC133132; FABP2 |
Entrez GeneID | 2169 |
Swissprot | P12104 |
clone | 9A9B7B3 |
WB Predicted band size | 15kDa |
Host/Isotype | Mouse IgG1 |
Antibody Type | Primary antibody |
Storage | Store at 4°C short term. Aliquot and store at -20°C long term. Avoid freeze/thaw cycles. |
Species Reactivity | Human |
Immunogen | Purified recombinant fragment of human FABP2 expressed in E. Coli. |
Formulation | Purified antibody in PBS with 0.05% sodium azide |
Application |
|
---|---|
WB | 1/500 - 1/2000 |
IHC | 1/200 - 1/1000 |
IF/ICC | 1/200 - 1/1000 |
FCM | 1/200 - 1/400 |
ELISA | 1/10000 |
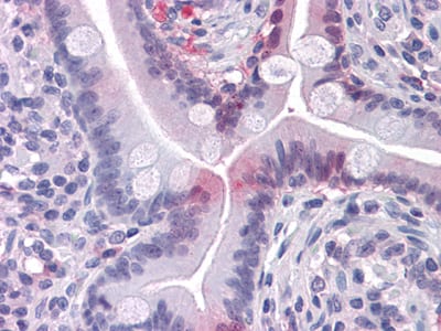
Product Image
- Immunofluorescence analysis of 3T3-L1 cells using FABP2 mouse mAb (green). Blue: DRAQ5 fluorescent DNA dye. Red: Actin filaments have been labeled with Alexa Fluor-555 phalloidin.
- Flow cytometric analysis of LOVO cells using FABP2 mouse mAb (green) and negative control (purple).
- Immunohistochemical analysis of paraffin-embedded human Small Intestine tissues using FABP2 mouse mAb
For Reseach Only
Application Key:WB - Western Blot | IHC - Immunohistochemistry | ICC - Immunocytochemistry | FCM - Flow Cytometry | ELISA - Enzyme-linked Immunosorbent Assay | IP - Immunoprecipitation
#20416

相关产品


