提醒成功

搜索
Mouse Monoclonal Antibody to PPID
-
货号:
32371 -
别名:
CYPD; CYP-40 -
应用:
IHC,FCM -
反应种属:
Human -
抗体类型:
Primary antibody -
Swissprot:
Q08752 -
规格:
-
数量:
-+ -
说明书:
目录价¥2180

Mouse Monoclonal Antibody to PPID
Description |
---|
The protein encoded by this gene is a member of the peptidyl-prolyl cis-trans isomerase (PPIase) family. PPIases catalyze the cis-trans isomerization of proline imidic peptide bonds in oligopeptides and accelerate the folding of proteins. This protein has been shown to possess PPIase activity and, similar to other family members, can bind to the immunosuppressant cyclosporin A. |
References |
---|
1.Genet Mol Res. 2015 Apr 28;14(2):4258-68. 2.Oxid Med Cell Longev. 2019 Apr 4;2019:1729013. |
Specification |
|
---|---|
Aliases | CYPD; CYP-40 |
Entrez GeneID | 5481 |
Swissprot | Q08752 |
clone | 5D10E5 |
WB Predicted band size | 40.7kDa |
Host/Isotype | Mouse IgG1 |
Antibody Type | Primary antibody |
Storage | Store at 4°C short term. Aliquot and store at -20°C long term. Avoid freeze/thaw cycles. |
Species Reactivity | Human |
Immunogen | Purified recombinant fragment of human PPID (AA: 171-370) expressed in E. Coli. |
Formulation | Purified antibody in PBS with 0.05% sodium azide |
Application |
|
---|---|
IHC | 1/200 - 1/1000 |
FCM | 1/200 - 1/400 |
ELISA | 1/10000 |
Product Image
- Black line: Control Antigen (100 ng);Purple line: Antigen (10ng); Blue line: Antigen (50 ng); Red line:Antigen (100 ng)
- Flow cytometric analysis of Jurkat cells using PPID mouse mAb (green) and negative control (red).
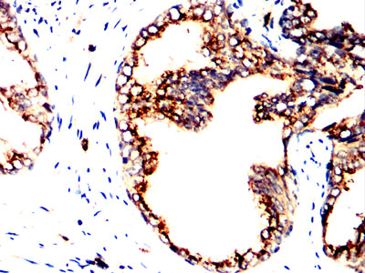
- Immunohistochemical analysis of paraffin-embedded human bladder cancer tissues using PPID mouse mAb with DAB staining.
- Immunohistochemical analysis of paraffin-embedded human prostate cancer tissues using PPID mouse mAb with DAB staining.
- Immunohistochemical analysis of paraffin-embedded human breast cancer tissues using PPID mouse mAb with DAB staining.
For Reseach Only
Application Key:WB - Western Blot | IHC - Immunohistochemistry | ICC - Immunocytochemistry | FCM - Flow Cytometry | ELISA - Enzyme-linked Immunosorbent Assay | IP - Immunoprecipitation
#32371

相关产品


